中国 EN 400-660-9091

联系我们

电话:18013895086

电话:025-68037686

地址:江苏生命科技创新园F6幢1层

订购:nanjing03@biogot.com

服务:biorase01@biogot.com

合作:lvyun@biogot.com

支持:may@biogot.com

CCL2 monoclonal antibody

货号: MB21602
价格 1200
货期 现货(1-2个工作日)
25ug 50ug 100ug 200ug
No. :MB21602
Product Name :CCL2 monoclonal antibody
Swiss-Prot :P13500
Host :Mouse
Reactivity :Human,Mouse,Rat,Monkey
Applications :WB,IHC,IF,FCM
Application_all :WB:1/500 - 1/2000 IHC:1/200 - 1/1000 IF:1/200 - 1/1000 FC:1/200 - 1/400
Background :This gene is one of several cytokine genes clustered on the q-arm of chromosome 17. Cytokines are a family of secreted proteins involved in immunoregulatory and inflammatory processes. The protein encoded by this gene is structurally related to the CXC subfamily of cytokines. Members of this subfamily are characterized by two cysteines separated by a single amino acid. This cytokine displays chemotactic activity for monocytes and basophils but not for neutrophils or eosinophils. It has been implicated in the pathogenesis of diseases characterized by monocytic infiltrates, like psoriasis, rheumatoid arthritis and atherosclerosis. It binds to chemokine receptors CCR2 and CCR4.
Product :Purified antibody in PBS with 0.05% sodium azide
Purification&Purity :The antibody was affinity-purified from mouse ascites by affinity-chromatography using epitope-specific immunogen and the purity is > 95% (by SDS-PAGE).
Storage&Stability :Store at 4°C short term. Aliquot and store at -20°C long term. Avoid freeze-thaw cycles.
Specificity :Mouse IgG1
BiowMW :11kDa
Note :For research use only, not for use in diagnostic procedure.
Alternative Name :HC11; MCAF; MCP1; MCP-1; SCYA2; GDCF-2; SMC-CF; HSMCR30
Immunogen :Purified recombinant fragment of human CCL2 expressed in E. Coli.
Conjugate :Unconjugated
Modification :Unmodification
Western blot analysis using CCL2 mouse mAb against A549 (1), HeLa (2), Raw264.7 (3), L1210 (4), C6 (5), and COS-7 (6)cell lysate.
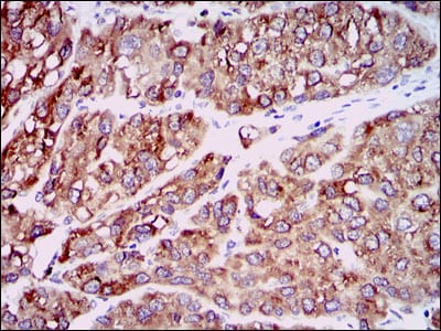
Immunohistochemical analysis of paraffin-embedded human liver cancer tissues using CCL2 mouse mAb with DAB staining.
Immunofluorescence analysis of HepG2 cells. Blue: DRAQ5 fluorescent DNA dye. Red: Actin filaments have been labeled with Alexa Fluor-555 phalloidin.
Flow cytometric analysis of A549 cells using CCL2 mouse mAb (green) and negative control (red).

关注我们

400-660-9091

电话:18013895086

地址:江苏生命科技创新园F6幢1层

订购:nanjing03@biogot.com

服务:biorase01@biogot.com

合作:lvyun@biogot.com

支持:may@biogot.com