中国 EN 400-660-9091

联系我们

电话:18013895086

电话:025-68037686

地址:江苏生命科技创新园F6幢1层

订购:nanjing03@biogot.com

服务:biorase01@biogot.com

合作:lvyun@biogot.com

支持:may@biogot.com

CK5 monoclonal antibody

货号: MB21600
价格 1200
货期 现货(1-2个工作日)
25ug 50ug 100ug 200ug
No. :MB21600
Product Name :CK5 monoclonal antibody
Swiss-Prot :P13647
Host :Mouse
Reactivity :Human,Mouse,Rat,Rabbit,Monkey
Applications :WB,IHC,IF,FCM
Application_all :WB:1/500 - 1/2000 IHC:1/100 - 1/500 IF:1/50 - 1/500 FC:1/200 - 1/400
Background :The protein encoded by this gene is a member of the keratin gene family. The type II cytokeratins consist of basic or neutral proteins which are arranged in pairs of heterotypic keratin chains coexpressed during differentiation of simple and stratified epithelial tissues. This type II cytokeratin is specifically expressed in the basal layer of the epidermis with family member KRT14. Mutations in these genes have been associated with a complex of diseases termed epidermolysis bullosa simplex. The type II cytokeratins are clustered in a region of chromosome 12q12-q13.
Product :Purified antibody in PBS with 0.05% sodium azide
Purification&Purity :The antibody was affinity-purified from mouse ascites by affinity-chromatography using epitope-specific immunogen and the purity is > 95% (by SDS-PAGE).
Storage&Stability :Store at 4°C short term. Aliquot and store at -20°C long term. Avoid freeze-thaw cycles.
Specificity :Mouse IgG1
BiowMW :62.3kDa
Note :For research use only, not for use in diagnostic procedure.
Alternative Name :KRT5; K5; DDD; EBS2; KRT5A
Immunogen :Purified recombinant fragment of human CK5 expressed in E. Coli.
Conjugate :Unconjugated
Modification :Unmodification
Western blot analysis using CK5 mouse mAb against A431 (1), MCF-7 (2), HeLa (3), HepG2 (4), 3T3-L1 (5), and COS-7 (6) cell lysate.
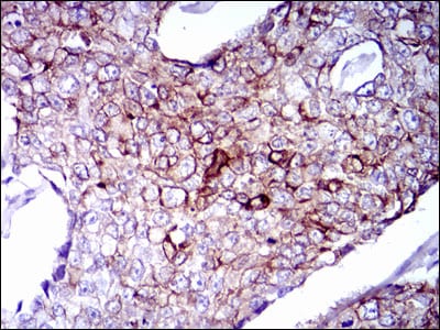
Immunohistochemical analysis of paraffin-embedded human breast cancer tissues using CK5 mouse mAb with DAB staining.
Immunofluorescence analysis of HeLa cells. Blue: DRAQ5 fluorescent DNA dye. Red: Actin filaments have been labeled with Alexa Fluor-555 phalloidin.
Flow cytometric analysis of HeLa cells using CK5 mouse mAb (green) and negative control (red).

关注我们

400-660-9091

电话:18013895086

地址:江苏生命科技创新园F6幢1层

订购:nanjing03@biogot.com

服务:biorase01@biogot.com

合作:lvyun@biogot.com

支持:may@biogot.com