中国 EN 400-660-9091

联系我们

电话:18013895086

电话:025-68037686

地址:江苏生命科技创新园F6幢1层

订购:nanjing03@biogot.com

服务:biorase01@biogot.com

合作:lvyun@biogot.com

支持:may@biogot.com

KID monoclonal antibody

货号: MB21528
价格 1200
货期 现货(1-2个工作日)
25ug 50ug 100ug 200ug
No. :MB21528
Product Name :KID monoclonal antibody
Swiss-Prot :Q14807
Host :Mouse
Reactivity :Human
Applications :WB,IHC
Application_all :WB:1/500 - 1/2000 IHC:1/200 - 1/1000
Background :The protein encoded by this gene is a member of kinesin-like protein family. This family of proteins are microtubule-dependent molecular motors that transport organelles within cells and move chromosomes during cell division. The C-terminal half of this protein has been shown to bind DNA. Studies with the Xenopus homolog suggests its essential role in metaphase chromosome alignment and maintenance.
Product :Ascitic fluid containing 0.03% sodium azide.
Purification&Purity :The antibody was affinity-purified from mouse ascites by affinity-chromatography using epitope-specific immunogen and the purity is > 95% (by SDS-PAGE).
Storage&Stability :Store at 4°C short term. Aliquot and store at -20°C long term. Avoid freeze-thaw cycles.
Specificity :Mouse IgG1
BiowMW :73kDa
Note :For research use only, not for use in diagnostic procedure.
Alternative Name :KIF22; KID; OBP; KNSL4; OBP-1; OBP-2; A-328A3.2
Immunogen :Purified recombinant fragment of human KID expressed in E. Coli.
Conjugate :Unconjugated
Modification :Unmodification
Western blot analysis using KID mouse mAb against MCF-7 (1) and Hela (2) cell lysate.
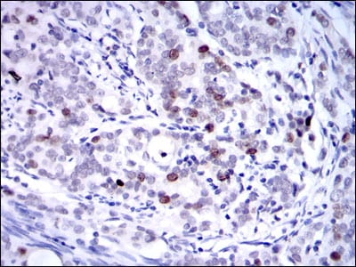
Immunohistochemical analysis of paraffin-embedded human cervical cancer tissues using KID mouse mAb with DAB staining.

关注我们

400-660-9091

电话:18013895086

地址:江苏生命科技创新园F6幢1层

订购:nanjing03@biogot.com

服务:biorase01@biogot.com

合作:lvyun@biogot.com

支持:may@biogot.com