中国 EN 400-660-9091

联系我们

电话:18013895086

电话:025-68037686

地址:江苏生命科技创新园F6幢1层

订购:nanjing03@biogot.com

服务:biorase01@biogot.com

合作:lvyun@biogot.com

支持:may@biogot.com

MCM2 monoclonal antibody

货号: MB21517
价格 1200
货期 现货(1-2个工作日)
25ug 50ug 100ug 200ug
No. :MB21517
Product Name :MCM2 monoclonal antibody
Swiss-Prot :P49736
Host :Mouse
Reactivity :Human,Mouse,Rat,Monkey
Applications :WB,IHC,FCM
Application_all :WB:1/500 - 1/2000 IHC:1/200 - 1/1000 FC:1/200 - 1/400
Background :The protein encoded by this gene is one of the highly conserved mini-chromosome maintenance proteins (MCM) that are involved in the initiation of eukaryotic genome replication. The hexameric protein complex formed by MCM proteins is a key component of the pre-replication complex (pre_RC) and may be involved in the formation of replication forks and in the recruitment of other DNA replication related proteins. This protein forms a complex with MCM4, 6, and 7, and has been shown to regulate the helicase activity of the complex. This protein is phosphorylated, and thus regulated by, protein kinases CDC2 and CDC7.
Product :Purified antibody in PBS with 0.05% sodium azide.
Purification&Purity :The antibody was affinity-purified from mouse ascites by affinity-chromatography using epitope-specific immunogen and the purity is > 95% (by SDS-PAGE).
Storage&Stability :Store at 4°C short term. Aliquot and store at -20°C long term. Avoid freeze-thaw cycles.
Specificity :Mouse IgG1
BiowMW :125kDa
Note :For research use only, not for use in diagnostic procedure.
Alternative Name :BM28; CCNL1; CDCL1; cdc19; D3S3194; MITOTIN; KIAA0030; MGC10606
Immunogen :Purified recombinant fragment of human MCM2 expressed in E. Coli.
Conjugate :Unconjugated
Modification :Unmodification
Western blot analysis using MCM2 mouse mAb against PC-12 (1), Cos7 (2), NIH/3T3 (3), HepG2 (4), HEK293 (5), K562 (6), Jurkat (7), Hela (8) and MCF-7 (9) cell lysate.
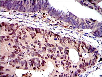
Immunohistochemical analysis of paraffin-embedded human colon cancer tissues using MCM2 mouse mAb with DAB staining.

关注我们

400-660-9091

电话:18013895086

地址:江苏生命科技创新园F6幢1层

订购:nanjing03@biogot.com

服务:biorase01@biogot.com

合作:lvyun@biogot.com

支持:may@biogot.com