中国 EN 400-660-9091

联系我们

电话:18013895086

电话:025-68037686

地址:江苏生命科技创新园F6幢1层

订购:nanjing03@biogot.com

服务:biorase01@biogot.com

合作:lvyun@biogot.com

支持:may@biogot.com

PSMB8 monoclonal antibody

货号: MB21512
价格 1200
货期 现货(1-2个工作日)
25ug 50ug 100ug 200ug
No. :MB21512
Product Name :PSMB8 monoclonal antibody
Swiss-Prot :P28062
Host :Mouse
Reactivity :Human,Rat
Applications :WB,IHC,IF
Application_all :WB:1/500 - 1/2000 IHC:1/200 - 1/1000 IF:1/200 - 1/1000
Background :The proteasome is a multicatalytic proteinase complex with a highly ordered ring-shaped 20S core structure. The core structure is composed of 4 rings of 28 non-identical subunits; 2 rings are composed of 7 alpha subunits and 2 rings are composed of 7 beta subunits. Proteasomes are distributed throughout eukaryotic cells at a high concentration and cleave peptides in an ATP/ubiquitin-dependent process in a non-lysosomal pathway. An essential function of a modified proteasome, the immunoproteasome, is the processing of class I MHC peptides. This gene encodes a member of the proteasome B-type family, also known as the T1B family, that is a 20S core beta subunit. This gene is located in the class II region of the MHC (major histocompatibility complex). Expression of this gene is induced by gamma interferon and this gene product replaces catalytic subunit 3 (proteasome beta 5 subunit) in the immunoproteasome. Proteolytic processing is required to generate a mature subunit. Two alternative transcripts encoding two isoforms have been identified; both isoforms are processed to yield the same mature subunit.
Product :Ascitic fluid containing 0.03% sodium azide.
Purification&Purity :The antibody was affinity-purified from mouse ascites by affinity-chromatography using epitope-specific immunogen and the purity is > 95% (by SDS-PAGE).
Storage&Stability :Store at 4°C short term. Aliquot and store at -20°C long term. Avoid freeze-thaw cycles.
Specificity :Mouse IgG1
BiowMW :30kDa
Note :For research use only, not for use in diagnostic procedure.
Alternative Name :JMP; LMP7; D6S216; PSMB5i; RING10; D6S216E; MGC1491
Immunogen :Purified recombinant fragment of human PSMB8 expressed in E. Coli.
Conjugate :Unconjugated
Modification :Unmodification
Western blot analysis using PSMB8 mouse mAb against Hela (1), MCF-7 (2), A431 (3), RAJI (4), MOTL4 (5) and PC-12 (6) cell lysate.
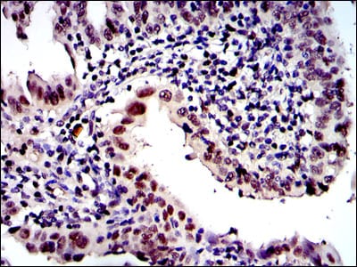
Immunohistochemical analysis of paraffin-embedded human intima cancer tissues using PSMB8 mouse mAb with DAB staining.
Immunofluorescence analysis of Hela cells using PSMB8 mouse mAb (green). Blue: DRAQ5 fluorescent DNA dye. Red: Actin filaments have been labeled with Alexa Fluor-555 phalloidin.

关注我们

400-660-9091

电话:18013895086

地址:江苏生命科技创新园F6幢1层

订购:nanjing03@biogot.com

服务:biorase01@biogot.com

合作:lvyun@biogot.com

支持:may@biogot.com