中国 EN 400-660-9091

联系我们

电话:18013895086

电话:025-68037686

地址:江苏生命科技创新园F6幢1层

订购:nanjing03@biogot.com

服务:biorase01@biogot.com

合作:lvyun@biogot.com

支持:may@biogot.com

c-Jun monoclonal antibody

货号: MB21511
价格 1200
货期 现货(1-2个工作日)
25ug 50ug 100ug 200ug
No. :MB21511
Product Name :c-Jun monoclonal antibody
Swiss-Prot :P05412
Host :Mouse
Reactivity :Human,Mouse
Applications :WB,IHC,IF
Application_all :WB:1/500 - 1/2000 IHC:1/200 - 1/1000 IF:1/200 - 1/1000
Background :This gene is the putative transforming gene of avian sarcoma virus 17. It encodes a protein which is highly similar to the viral protein, and which interacts directly with specific target DNA sequences to regulate gene expression. This gene is intronless and is mapped to 1p32-p31, a chromosomal region involved in both translocations and deletions in human malignancies.
Product :Ascitic fluid containing 0.03% sodium azide.
Purification&Purity :The antibody was affinity-purified from mouse ascites by affinity-chromatography using epitope-specific immunogen and the purity is > 95% (by SDS-PAGE).
Storage&Stability :Store at 4°C short term. Aliquot and store at -20°C long term. Avoid freeze-thaw cycles.
Specificity :Mouse IgG1
BiowMW :43kDa
Note :For research use only, not for use in diagnostic procedure.
Alternative Name :AP1; AP-1; c-Jun; Jun
Immunogen :Purified recombinant fragment of human c-Jun expressed in E. Coli.
Conjugate :Unconjugated
Modification :Unmodification
Western blot analysis using c-Jun mouse mAb against NIH/3T3 cell lysate.
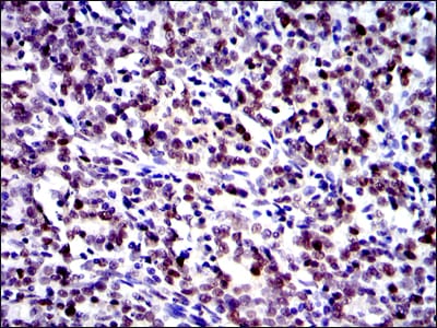
Immunohistochemical analysis of paraffin-embedded human cervical cancer tissues using c-Jun mouse mAb with DAB staining.
Immunofluorescence analysis of Hela cells using c-Jun mouse mAb (green). Blue: DRAQ5 fluorescent DNA dye. Red: Actin filaments have been labeled with Alexa Fluor-555 phalloidin.

关注我们

400-660-9091

电话:18013895086

地址:江苏生命科技创新园F6幢1层

订购:nanjing03@biogot.com

服务:biorase01@biogot.com

合作:lvyun@biogot.com

支持:may@biogot.com