中国 EN 400-660-9091

联系我们

电话:18013895086

电话:025-68037686

地址:江苏生命科技创新园F6幢1层

订购:nanjing03@biogot.com

服务:biorase01@biogot.com

合作:lvyun@biogot.com

支持:may@biogot.com

LMNA monoclonal antibody

货号: MB21504
价格 1200
货期 现货(1-2个工作日)
25ug 50ug 100ug 200ug
No. :MB21504
Product Name :LMNA monoclonal antibody
Swiss-Prot :P02545
Host :Mouse
Reactivity :Human,Mouse,Rat
Applications :WB,IHC
Application_all :WB:1/500 - 1/2000 IHC:1/200 - 1/1000
Background :The nuclear lamina consists of a two-dimensional matrix of proteins located next to the inner nuclear membrane. The lamin family of proteins make up the matrix and are highly conserved in evolution. During mitosis, the lamina matrix is reversibly disassembled as the lamin proteins are phosphorylated. Lamin proteins are thought to be involved in nuclear stability, chromatin structure and gene expression. Vertebrate lamins consist of two types, A and B. Through alternate splicing, this gene encodes three type A lamin isoforms. Mutations in this gene lead to several diseases: Emery-Dreifuss muscular dystrophy, familial partial lipodystrophy, limb girdle muscular dystrophy, dilated cardiomyopathy, Charcot-Marie-Tooth disease, and Hutchinson-Gilford progeria syndrome.
Product :Ascitic fluid containing 0.03% sodium azide.
Purification&Purity :The antibody was affinity-purified from mouse ascites by affinity-chromatography using epitope-specific immunogen and the purity is > 95% (by SDS-PAGE).
Storage&Stability :Store at 4°C short term. Aliquot and store at -20°C long term. Avoid freeze-thaw cycles.
Specificity :Mouse IgG1
BiowMW :74kDa
Note :For research use only, not for use in diagnostic procedure.
Alternative Name :FPL; IDC; LFP; CDDC; EMD2; FPLD; HGPS; LDP1; LMN1; LMNC; PRO1; CDCD1; CMD1A; FPLD2; LMNL1; CMT2B1
Immunogen :Purified recombinant fragment of human LMNA expressed in E. Coli.
Conjugate :Unconjugated
Modification :Unmodification
Western blot analysis using LMNA mouse mAb against Raw264.7 (1), PC-12 (2), THP-1 (3), A431 (4), MCF-7 (5) and Jurkat (6) cell lysate.
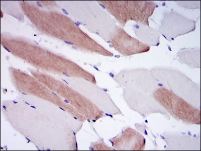
Immunohistochemical analysis of paraffin-embedded human striated muscle tissues using LMNA mouse mAb with DAB staining.

关注我们

400-660-9091

电话:18013895086

地址:江苏生命科技创新园F6幢1层

订购:nanjing03@biogot.com

服务:biorase01@biogot.com

合作:lvyun@biogot.com

支持:may@biogot.com