中国 EN 400-660-9091

联系我们

电话:18013895086

电话:025-68037686

地址:江苏生命科技创新园F6幢1层

订购:nanjing03@biogot.com

服务:biorase01@biogot.com

合作:lvyun@biogot.com

支持:may@biogot.com

AIF monoclonal antibody

货号: MB21502
价格 1200
货期 现货(1-2个工作日)
25ug 50ug 100ug 200ug
No. :MB21502
Product Name :AIF monoclonal antibody
Swiss-Prot :O95831
Host :Mouse
Reactivity :Human,Mouse,Rat,,Monkey
Applications :WB,IHC,IF,FCM
Application_all :WB:1/500 - 1/2000 IHC:1/200 - 1/1000 IF:1/200 - 1/1000 FC:1/200 - 1/400
Background :This gene encodes a flavoprotein essential for nuclear disassembly in apoptotic cells, and it is found in the mitochondrial intermembrane space in healthy cells. Induction of apoptosis results in the translocation of this protein to the nucleus where it affects chromosome condensation and fragmentation. In addition, this gene product induces mitochondria to release the apoptogenic proteins cytochrome c and caspase-9. Mutations in this gene cause combined oxidative phosphorylation deficiency 6, which results in a severe mitochondrial encephalomyopathy. Alternative splicing results in multiple transcript variants. A related pseudogene has been identified on chromosome 10
Product :Purified antibody in PBS with 0.05% sodium azide.
Purification&Purity :The antibody was affinity-purified from mouse ascites by affinity-chromatography using epitope-specific immunogen and the purity is > 95% (by SDS-PAGE).
Storage&Stability :Store at 4°C short term. Aliquot and store at -20°C long term. Avoid freeze-thaw cycles.
Specificity :Mouse IgG2b
BiowMW :67kDa
Note :For research use only, not for use in diagnostic procedure.
Alternative Name :AIFM1; AIF; PDCD8; COXPD6; MGC111425
Immunogen :Purified recombinant fragment of human AIF expressed in E. Coli.
Conjugate :Unconjugated
Modification :Unmodification
Western blot analysis using AIF mouse mAb against NIH/3T3 (1), Jurkat (2), Hela (3), HepG2 (4), MOLT4 (5), C6 (6), RAJI (7), Cos7 (8) and PC-12 (9) cell lysate.
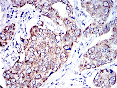
Immunohistochemical analysis of paraffin-embedded human breast cancer tissues using AIF mouse mAb with DAB staining.
Immunofluorescence analysis of NIH/3T3 cells using AIF mouse mAb (green). Blue: DRAQ5 fluorescent DNA dye. Red: Actin filaments have been labeled with Alexa Fluor-555 phalloidin.
Flow cytometric analysis of HepG2 cells using AIF mouse mAb (blue) and negative control (red).

关注我们

400-660-9091

电话:18013895086

地址:江苏生命科技创新园F6幢1层

订购:nanjing03@biogot.com

服务:biorase01@biogot.com

合作:lvyun@biogot.com

支持:may@biogot.com