中国 EN 400-660-9091

联系我们

电话:18013895086

电话:025-68037686

地址:江苏生命科技创新园F6幢1层

订购:nanjing03@biogot.com

服务:biorase01@biogot.com

合作:lvyun@biogot.com

支持:may@biogot.com

XRCC5 monoclonal antibody

货号: MB21496
价格 1200
货期 现货(1-2个工作日)
25ug 50ug 100ug 200ug
No. :MB21496
Product Name :XRCC5 monoclonal antibody
Swiss-Prot :P13010
Host :Mouse
Reactivity :Human,Mouse
Applications :WB,IHC,IF,FCM
Application_all :WB:1/500 - 1/2000 IHC:1/200 - 1/1000 IF:1/200 - 1/1000 FC:1/200 - 1/400
Background :The protein encoded by this gene is the 80-kilodalton subunit of the Ku heterodimer protein which is also known as ATP-dependant DNA helicase II or DNA repair protein XRCC5. Ku is the DNA-binding component of the DNA-dependent protein kinase, and it functions together with the DNA ligase IV-XRCC4 complex in the repair of DNA double-strand break by non-homologous end joining and the completion of V(D)J recombination events. This gene functionally complements Chinese hamster xrs-6, a mutant defective in DNA double-strand break repair and in ability to undergo V(D)J recombination. A rare microsatellite polymorphism in this gene is associated with cancer in patients of varying radiosensitivity.
Product :Purified antibody in PBS with 0.05% sodium azide.
Purification&Purity :The antibody was affinity-purified from mouse ascites by affinity-chromatography using epitope-specific immunogen and the purity is > 95% (by SDS-PAGE).
Storage&Stability :Store at 4°C short term. Aliquot and store at -20°C long term. Avoid freeze-thaw cycles.
Specificity :Mouse IgG1
BiowMW :86kDa
Note :For research use only, not for use in diagnostic procedure.
Alternative Name :KU80; KUB2; Ku86; NFIV; KARP1; KARP-1; FLJ39089
Immunogen :Purified recombinant fragment of human XRCC5 expressed in E. Coli.
Conjugate :Unconjugated
Modification :Unmodification
Western blot analysis using XRCC5 mouse mAb against Hela (1), MCF-7 (2), A549 (3) and NIH/3T3 (4) cell lysate.
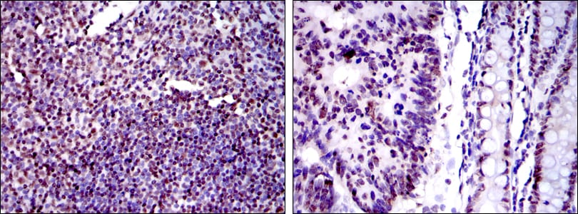
Immunohistochemical analysis of paraffin-embedded human tonsil tissues (left) and human colon cancer tissues (right) using XRCC5 mouse mAb with DAB staining.
Immunofluorescence analysis of Hela cells using XRCC5 mouse mAb (green). Red: Actin filaments have been labeled with Alexa Fluor-555 phalloidin.
Flow cytometric analysis of Hela cells using XRCC5 mouse mAb (green) and negative control (purple).

关注我们

400-660-9091

电话:18013895086

地址:江苏生命科技创新园F6幢1层

订购:nanjing03@biogot.com

服务:biorase01@biogot.com

合作:lvyun@biogot.com

支持:may@biogot.com