中国 EN 400-660-9091

联系我们

电话:18013895086

电话:025-68037686

地址:江苏生命科技创新园F6幢1层

订购:nanjing03@biogot.com

服务:biorase01@biogot.com

合作:lvyun@biogot.com

支持:may@biogot.com

ACTA2 monoclonal antibody

货号: MB21494
价格 1200
货期 现货(1-2个工作日)
25ug 50ug 100ug 200ug
No. :MB21494
Product Name :ACTA2 monoclonal antibody
Swiss-Prot :P62736
Host :Mouse
Reactivity :Human,Mouse,Rat,Monkey
Applications :WB,IHC,IF,FCM
Application_all :WB:1/500 - 1/2000 IHC:1/200 - 1/1000 IF:1/200 - 1/1000 FC:1/200 - 1/400
Background :The protein encoded by this gene belongs to the actin family of proteins, which are highly conserved proteins that play a role in cell motility, structure and integrity. Alpha, beta and gamma actin isoforms have been identified, with alpha actins being a major constituent of the contractile apparatus, while beta and gamma actins are involved in the regulation of cell motility. This actin is an alpha actin that is found in skeletal muscle. Defects in this gene cause aortic aneurysm familial thoracic type 6. Multiple alternatively spliced variants, encoding the same protein, have been identified.
Product :Ascitic fluid containing 0.03% sodium azide.
Purification&Purity :The antibody was affinity-purified from mouse ascites by affinity-chromatography using epitope-specific immunogen and the purity is > 95% (by SDS-PAGE).
Storage&Stability :Store at 4°C short term. Aliquot and store at -20°C long term. Avoid freeze-thaw cycles.
Specificity :Mouse IgG1
BiowMW :42kDa
Note :For research use only, not for use in diagnostic procedure.
Alternative Name :AAT6; ACTSA; α-Smooth Muscle Actin;Alpha-actin-2;Alpha actin 2
Immunogen :Synthesized peptide of human ACTA2.
Conjugate :Unconjugated
Modification :Unmodification
Western blot analysis using ACTA2 mouse mAb against Hela (1), A431 (2), Jurkat (3), K562 (4), HEK293 (5), HepG2 (6), NIH/3T3 (7), PC-12 (8) and Cos7 (9) cell lysate.
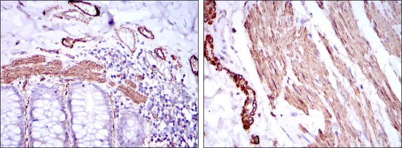
Immunohistochemical analysis of paraffin-embedded human duodenum tissues (left) and human esophagus tissues (right) using ACTA2 mouse mAb with DAB staining.
Immunofluorescence analysis of HepG2 cells using ACTA2 mouse mAb (green). Red: Actin filaments have been labeled with Alexa Fluor-555 phalloidin. Blue: DRAQ5 fluorescent DNA dye.
Flow cytometric analysis of Hela cells using ACTA2 mouse mAb (green) and negative control (purple).

关注我们

400-660-9091

电话:18013895086

地址:江苏生命科技创新园F6幢1层

订购:nanjing03@biogot.com

服务:biorase01@biogot.com

合作:lvyun@biogot.com

支持:may@biogot.com