中国 EN 400-660-9091

联系我们

电话:18013895086

电话:025-68037686

地址:江苏生命科技创新园F6幢1层

订购:nanjing03@biogot.com

服务:biorase01@biogot.com

合作:lvyun@biogot.com

支持:may@biogot.com

BLNK monoclonal antibody

货号: MB21491
价格 1200
货期 现货(1-2个工作日)
25ug 50ug 100ug 200ug
No. :MB21491
Product Name :BLNK monoclonal antibody
Swiss-Prot :Q8WV28
Host :Mouse
Reactivity :Human,Mouse,Rat,,Monkey
Applications :WB,IHC,IF,FCM
Application_all :WB:1/500 - 1/2000 IHC:1/200 - 1/1000 IF:1/200 - 1/1000 FC:1/200 - 1/400
Background :This gene encodes a cytoplasmic linker or adaptor protein that plays a critical role in B cell development. This protein bridges B cell receptor-associated kinase activation with downstream signaling pathways, thereby affecting various biological functions. The phosphorylation of five tyrosine residues is necessary for this protein to nucleate distinct signaling effectors following B cell receptor activation. Mutations in this gene cause hypoglobulinemia and absent B cells, a disease in which the pro- to pre-B-cell transition is developmentally blocked. Deficiency in this protein has also been shown in some cases of pre-B acute lymphoblastic leukemia. Alternatively spliced transcript variants encoding different isoforms have been found for this gene.
Product :Purified antibody in PBS with 0.05% sodium azide.
Purification&Purity :The antibody was affinity-purified from mouse ascites by affinity-chromatography using epitope-specific immunogen and the purity is > 95% (by SDS-PAGE).
Storage&Stability :Store at 4°C short term. Aliquot and store at -20°C long term. Avoid freeze-thaw cycles.
Specificity :Mouse IgG1
BiowMW :68kDa
Note :For research use only, not for use in diagnostic procedure.
Alternative Name :AGM4; BASH; LY57; SLP65; BLNK-S; SLP-65; MGC111051
Immunogen :Purified recombinant fragment of human BLNK expressed in E. Coli.
Conjugate :Unconjugated
Modification :Unmodification
Western blot analysis using BLNK mouse mAb against NIH/3T3 (1) and BCBL-1 (2) cell lysate.
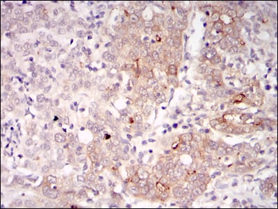
Immunohistochemical analysis of paraffin-embedded human cervical cancer tissues using BLNK mouse mAb with DAB staining.
Immunofluorescence analysis of HepG2 cells using BLNK mouse mAb (green). Blue: DRAQ5 fluorescent DNA dye. Red: Actin filaments have been labeled with Alexa Fluor-555 phalloidin.
Flow cytometric analysis of NIH/3T3 cells using BLNK mouse mAb (green) and negative control (purple).

关注我们

400-660-9091

电话:18013895086

地址:江苏生命科技创新园F6幢1层

订购:nanjing03@biogot.com

服务:biorase01@biogot.com

合作:lvyun@biogot.com

支持:may@biogot.com