中国 EN 400-660-9091

联系我们

电话:18013895086

电话:025-68037686

地址:江苏生命科技创新园F6幢1层

订购:nanjing03@biogot.com

服务:biorase01@biogot.com

合作:lvyun@biogot.com

支持:may@biogot.com

HSP90AB1 monoclonal antibody

货号: MB21487
价格 1200
货期 现货(1-2个工作日)
25ug 50ug 100ug 200ug
No. :MB21487
Product Name :HSP90AB1 monoclonal antibody
Swiss-Prot :P08238
Host :Mouse
Reactivity :Human,Mouse,Rat,Monkey
Applications :WB,IHC
Application_all :WB:1/500 - 1/2000 IHC:1/200 - 1/1000
Background :HSP90 proteins are highly conserved molecular chaperones that have key roles in signal transduction, protein folding, protein degradation, and morphologic evolution. HSP90 proteins normally associate with other cochaperones and play important roles in folding newly synthesized proteins or stabilizing and refolding denatured proteins after stress. There are 2 major cytosolic HSP90 proteins, HSP90AA1 (MIM 140571), an inducible form, and HSP90AB1, a constitutive form.
Product :Ascitic fluid containing 0.03% sodium azide.
Purification&Purity :The antibody was affinity-purified from mouse ascites by affinity-chromatography using epitope-specific immunogen and the purity is > 95% (by SDS-PAGE).
Storage&Stability :Store at 4°C short term. Aliquot and store at -20°C long term. Avoid freeze-thaw cycles.
Specificity :Mouse IgG1
BiowMW :84kDa
Note :For research use only, not for use in diagnostic procedure.
Alternative Name :HSPC2; HSPCB; D6S182; HSP90B; FLJ26984; HSP90-BETA
Immunogen :Purified recombinant fragment of human HSP90AB1 expressed in E. Coli.
Conjugate :Unconjugated
Modification :Unmodification
Western blot analysis using HSP90AB1 mouse mAb against Jurkat (1), A431 (2), Hela (3), A549 (4), HEK293 (5), K562 (6), NIH/3T3 (7), PC-12 (8) and Cos7 (9) cell lysate.
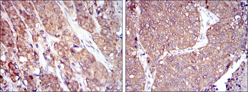
Immunohistochemical analysis of paraffin-embedded human prostate cancer tissues (left) and lung cancer tissues (right) using HSP90AB1 mouse mAb with DAB staining.

关注我们

400-660-9091

电话:18013895086

地址:江苏生命科技创新园F6幢1层

订购:nanjing03@biogot.com

服务:biorase01@biogot.com

合作:lvyun@biogot.com

支持:may@biogot.com