Western blot analysis using HSP90AB1 mouse mAb against Jurkat (1), A431 (2), Hela (3), A549 (4), HEK293 (5), K562 (6), NIH/3T3 (7), PC-12 (8) and Cos7 (9) cell lysate.
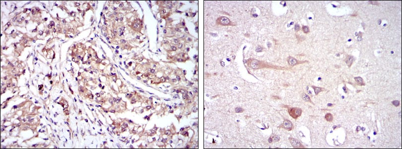
Immunohistochemical analysis of paraffin-embedded human kidney cancer tissues (left) and brain tissues (right) using HSP90AB1 mouse mAb with DAB staining.
Immunofluorescence analysis of Hela cells using HSP90AB1 mouse mAb (green). Blue: DRAQ5 fluorescent DNA dye. Red: Actin filaments have been labeled with Alexa Fluor-555 phalloidin.
Flow cytometric analysis of Hela cells using HSP90AB1 mouse mAb (green) and negative control (purple).