中国 EN 400-660-9091

联系我们

电话:18013895086

电话:025-68037686

地址:江苏生命科技创新园F6幢1层

订购:nanjing03@biogot.com

服务:biorase01@biogot.com

合作:lvyun@biogot.com

支持:may@biogot.com

KRT19 monoclonal antibody

货号: MB21485
价格 1200
货期 现货(1-2个工作日)
25ug 50ug 100ug 200ug
No. :MB21485
Product Name :KRT19 monoclonal antibody
Swiss-Prot :P08727
Host :Mouse
Reactivity :Human
Applications :WB,IHC
Application_all :WB:1/500 - 1/2000 IHC:1/200 - 1/1000
Background :The protein encoded by this gene is a member of the keratin family. The keratins are intermediate filament proteins responsible for the structural integrity of epithelial cells and are subdivided into cytokeratins and hair keratins. The type I cytokeratins consist of acidic proteins which are arranged in pairs of heterotypic keratin chains. Unlike its related family members, this smallest known acidic cytokeratin is not paired with a basic cytokeratin in epithelial cells. It is specifically expressed in the periderm, the transiently superficial layer that envelopes the developing epidermis. The type I cytokeratins are clustered in a region of chromosome 17q12-q21.
Product :Ascitic fluid containing 0.03% sodium azide.
Purification&Purity :The antibody was affinity-purified from mouse ascites by affinity-chromatography using epitope-specific immunogen and the purity is > 95% (by SDS-PAGE).
Storage&Stability :Store at 4°C short term. Aliquot and store at -20°C long term. Avoid freeze-thaw cycles.
Specificity :Mouse IgG1
BiowMW :41kDa
Note :For research use only, not for use in diagnostic procedure.
Alternative Name :K19; CK19; K1CS; MGC15366
Immunogen :Purified recombinant fragment of human KRT19 expressed in E. Coli.
Conjugate :Unconjugated
Modification :Unmodification
Western blot analysis using KRT19 mouse mAb against T47D (1), MCF-7 (2), SKBR-3 (3), HepG2 (4), Caco-2 (5) and SW620 (6) cell lysate.
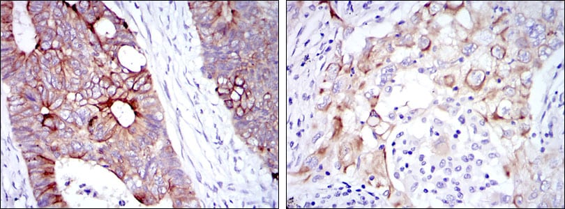
Immunohistochemical analysis of paraffin-embedded human rectum cancer tissues (left) and lung cancer tissues (right) using KRT19 mouse mAb with DAB staining.

关注我们

400-660-9091

电话:18013895086

地址:江苏生命科技创新园F6幢1层

订购:nanjing03@biogot.com

服务:biorase01@biogot.com

合作:lvyun@biogot.com

支持:may@biogot.com