中国 EN 400-660-9091

联系我们

电话:18013895086

电话:025-68037686

地址:江苏生命科技创新园F6幢1层

订购:nanjing03@biogot.com

服务:biorase01@biogot.com

合作:lvyun@biogot.com

支持:may@biogot.com

NFKB1 monoclonal antibody

货号: MB21483
价格 1200
货期 现货(1-2个工作日)
25ug 50ug 100ug 200ug
No. :MB21483
Product Name :NFKB1 monoclonal antibody
Swiss-Prot :P19838
Host :Mouse
Reactivity :Human
Applications :WB,IHC,FCM
Application_all :WB:1/500 - 1/2000 IHC:1/200 - 1/1000 FC:1/200 - 1/400
Background :This gene encodes a 105 kD protein which can undergo cotranslational processing by the 26S proteasome to produce a 50 kD protein. The 105 kD protein is a Rel protein-specific transcription inhibitor and the 50 kD protein is a DNA binding subunit of the NF-kappa-B (NFKB) protein complex. NFKB is a transcription regulator that is activated by various intra- and extra-cellular stimuli such as cytokines, oxidant-free radicals, ultraviolet irradiation, and bacterial or viral products. Activated NFKB translocates into the nucleus and stimulates the expression of genes involved in a wide variety of biological functions. Inappropriate activation of NFKB has been associated with a number of inflammatory diseases while persistent inhibition of NFKB leads to inappropriate immune cell development or delayed cell growth. Two transcript variants encoding different isoforms have been found for this gene.
Product :Ascitic fluid containing 0.03% sodium azide.
Purification&Purity :The antibody was affinity-purified from mouse ascites by affinity-chromatography using epitope-specific immunogen and the purity is > 95% (by SDS-PAGE).
Storage&Stability :Store at 4°C short term. Aliquot and store at -20°C long term. Avoid freeze-thaw cycles.
Specificity :Mouse IgG2a
BiowMW :50kDa/105kDa
Note :For research use only, not for use in diagnostic procedure.
Alternative Name :p50; KBF1; p105; EBP-1; MGC54151; NFKB-p50; NFkappaB; NF-kappaB; NFKB-p105; NF-kappa-B
Immunogen :Purified recombinant fragment of human NFKB1 expressed in E. Coli.
Conjugate :Unconjugated
Modification :Unmodification
Western blot analysis using NFKB1 mouse mAb against K562 (1), Jurkat (2), A431 (3), Hela (4), THP-1 (5) and MCF-7 (6) cell lysate.
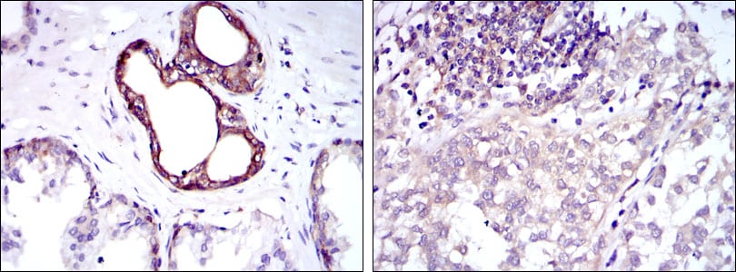
Immunohistochemical analysis of paraffin-embedded human prostate tissues (left) and bladder cancer tissues (right) using NFKB1 mouse mAb with DAB staining.

关注我们

400-660-9091

电话:18013895086

地址:江苏生命科技创新园F6幢1层

订购:nanjing03@biogot.com

服务:biorase01@biogot.com

合作:lvyun@biogot.com

支持:may@biogot.com