中国 EN 400-660-9091

联系我们

电话:18013895086

电话:025-68037686

地址:江苏生命科技创新园F6幢1层

订购:nanjing03@biogot.com

服务:biorase01@biogot.com

合作:lvyun@biogot.com

支持:may@biogot.com

SMN1 monoclonal antibody

货号: MB21479
价格 1200
货期 现货(1-2个工作日)
25ug 50ug 100ug 200ug
No. :MB21479
Product Name :SMN1 monoclonal antibody
Swiss-Prot :Q16637
Host :Mouse
Reactivity :Human,Monkey
Applications :WB,IHC,FCM
Application_all :WB:1/500 - 1/2000 IHC:1/200 - 1/1000 FC:1/200 - 1/400
Background :This gene is part of a 500 kb inverted duplication on chromosome 5q13. This duplicated region contains at least four genes and repetitive elements which make it prone to rearrangements and deletions. The repetitiveness and complexity of the sequence have also caused difficulty in determining the organization of this genomic region. The telomeric and centromeric copies of this gene are nearly identical and encode the same protein.
Product :Purified antibody in PBS with 0.05% sodium azide.
Purification&Purity :The antibody was affinity-purified from mouse ascites by affinity-chromatography using epitope-specific immunogen and the purity is > 95% (by SDS-PAGE).
Storage&Stability :Store at 4°C short term. Aliquot and store at -20°C long term. Avoid freeze-thaw cycles.
Specificity :Mouse IgG1
BiowMW :39kDa
Note :For research use only, not for use in diagnostic procedure.
Alternative Name :SMA; SMN; SMA1; SMA2; SMA3; SMA4; SMA@; SMN2; SMNT; BCD541; T-BCD541
Immunogen :Purified recombinant fragment of human SMN1 expressed in E. Coli.
Conjugate :Unconjugated
Modification :Unmodification
Western blot analysis using SMN1 mouse mAb against HepG2 (1), Hela (2), K562 (3), Jurkat (4), SKBR-3 (5), A431 (6) and Cos7 (7) cell lysate.
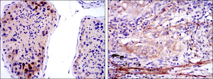
Immunohistochemical analysis of paraffin-embedded human testis tissues (left) and lung cancer tissues (right) using SMN1 mouse mAb with DAB staining.

关注我们

400-660-9091

电话:18013895086

地址:江苏生命科技创新园F6幢1层

订购:nanjing03@biogot.com

服务:biorase01@biogot.com

合作:lvyun@biogot.com

支持:may@biogot.com