中国 EN 400-660-9091

联系我们

电话:18013895086

电话:025-68037686

地址:江苏生命科技创新园F6幢1层

订购:nanjing03@biogot.com

服务:biorase01@biogot.com

合作:lvyun@biogot.com

支持:may@biogot.com

CREB1 monoclonal antibody

货号: MB21464
价格 1200
货期 现货(1-2个工作日)
25ug 50ug 100ug 200ug
No. :MB21464
Product Name :CREB1 monoclonal antibody
Swiss-Prot :P16220
Host :Mouse
Reactivity :Human,Mouse,Rat,Monkey
Applications :WB,IHC,IF
Application_all :WB:1/500 - 1/2000 IHC:1/200 - 1/1000 IF:1/200 - 1/1000
Background :This gene encodes a transcription factor that is a member of the leucine zipper family of DNA binding proteins. This protein binds as a homodimer to the cAMP-responsive element, an octameric palindrome. The protein is phosphorylated by several protein kinases, and induces transcription of genes in response to hormonal stimulation of the cAMP pathway. Alternate splicing of this gene results in two transcript variants encoding different isoforms. (provided by RefSeq)
Product :Purified antibody in PBS with 0.05% sodium azide.
Purification&Purity :The antibody was affinity-purified from mouse ascites by affinity-chromatography using epitope-specific immunogen and the purity is > 95% (by SDS-PAGE).
Storage&Stability :Store at 4°C short term. Aliquot and store at -20°C long term. Avoid freeze-thaw cycles.
Specificity :Mouse IgG1
BiowMW :43kDa
Note :For research use only, not for use in diagnostic procedure.
Alternative Name :CREB; MGC9284; CREB1
Immunogen :Purified recombinant fragment of human CREB1 expressed in E. Coli.
Conjugate :Unconjugated
Modification :Unmodification
Western blot analysis using CREB1 mouse mAb against K562 (1), Jurkat (2), L1210 (3), HEK293 (4), A431 (5), Hela (6), Cos7 (7), PC-12 (8), and NIH/3T3 (9) cell lysate.
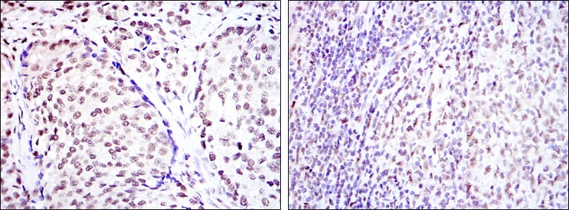
Immunohistochemical analysis of paraffin-embedded human prostate cancer tissues (left) and submaxillary tumor tissues (right) using CREB1 mouse mAb with DAB staining.
Immunofluorescence analysis of Hela cells using CREB1 mouse mAb (green). Red: Actin filaments have been labeled with Alexa Fluor-555 phalloidin.

关注我们

400-660-9091

电话:18013895086

地址:江苏生命科技创新园F6幢1层

订购:nanjing03@biogot.com

服务:biorase01@biogot.com

合作:lvyun@biogot.com

支持:may@biogot.com