中国 EN 400-660-9091

联系我们

电话:18013895086

电话:025-68037686

地址:江苏生命科技创新园F6幢1层

订购:nanjing03@biogot.com

服务:biorase01@biogot.com

合作:lvyun@biogot.com

支持:may@biogot.com

CTTN monoclonal antibody

货号: MB21452
价格 1200
货期 现货(1-2个工作日)
25ug 50ug 100ug 200ug
No. :MB21452
Product Name :CTTN monoclonal antibody
Swiss-Prot :Q14247
Host :Mouse
Reactivity :Human,Mouse
Applications :WB,IHC
Application_all :WB:1/500 - 1/2000 IHC:1/200 - 1/1000
Background :This gene is overexpressed in breast cancer and squamous cell carcinomas of the head and neck. The encoded protein is localized in the cytoplasm and in areas of the cell-substratum contacts. This gene has two roles: (1) regulating the interactions between components of adherens-type junctions and (2) organizing the cytoskeleton and cell adhesion structures of epithelia and carcinoma cells. During apoptosis, the encoded protein is degraded in a caspase-dependent manner. The aberrant regulation of this gene contributes to tumor cell invasion and metastasis. Three splice variants that encode different isoforms have been identified for this gene. (provided by RefSeq)
Product :Ascitic fluid containing 0.03% sodium azide.
Purification&Purity :The antibody was affinity-purified from mouse ascites by affinity-chromatography using epitope-specific immunogen and the purity is > 95% (by SDS-PAGE).
Storage&Stability :Store at 4°C short term. Aliquot and store at -20°C long term. Avoid freeze-thaw cycles.
Specificity :Mouse IgG1
BiowMW :80kDa
Note :For research use only, not for use in diagnostic procedure.
Alternative Name :EMS1; FLJ34459; CTTN
Immunogen :Purified recombinant fragment of human CTTN expressed in E. Coli.
Conjugate :Unconjugated
Modification :Unmodification
Western blot analysis using CTTN mouse mAb against Hela (1), A431 (2), MCF-7 (3), SR-BR-3 (4), HepG2 (5) and NIH/3T3 (6) cell lysate.
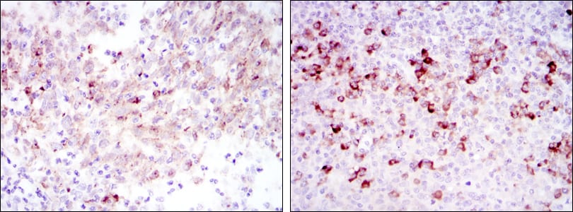
Immunohistochemical analysis of paraffin-embedded human cervical cancer tissues (left) and tonsil tissues (right) using CTTN mouse mAb with DAB staining.

关注我们

400-660-9091

电话:18013895086

地址:江苏生命科技创新园F6幢1层

订购:nanjing03@biogot.com

服务:biorase01@biogot.com

合作:lvyun@biogot.com

支持:may@biogot.com