中国 EN 400-660-9091

联系我们

电话:18013895086

电话:025-68037686

地址:江苏生命科技创新园F6幢1层

订购:nanjing03@biogot.com

服务:biorase01@biogot.com

合作:lvyun@biogot.com

支持:may@biogot.com

CD1A monoclonal antibody

货号: MB21451
价格 1200
货期 现货(1-2个工作日)
25ug 50ug 100ug 200ug
No. :MB21451
Product Name :CD1A monoclonal antibody
Swiss-Prot :P06126
Host :Mouse
Reactivity :Human
Applications :WB,IHC,IF
Application_all :WB:1/500 - 1/2000 IHC:1/200 - 1/1000 IF:1/200 - 1/1000
Background :CD1a is a non polymorphic MHC Class 1 related cell surface glycoprotein, expressed in association with Beta 2 microglobulin. CD1a is expressed by cortical thymocytes, Langerhan's cells and by interdigitating cells. CD1a is also expressed by some malignancies of T cell lineage and in histiocytosis X. Tissue specificity: Expressed on cortical thymocytes, epidermal Langerhans cells, dendritic cells, on certain T-cell leukemias, and in various other tissues.
Product :Purified antibody in PBS with 0.05% sodium azide.
Purification&Purity :The antibody was affinity-purified from mouse ascites by affinity-chromatography using epitope-specific immunogen and the purity is > 95% (by SDS-PAGE).
Storage&Stability :Store at 4°C short term. Aliquot and store at -20°C long term. Avoid freeze-thaw cycles.
Specificity :Mouse IgG1
BiowMW :37kDa
Note :For research use only, not for use in diagnostic procedure.
Alternative Name :R4; T6; CD1; FCB6; HTA1; CD1A
Immunogen :Purified recombinant fragment of human CD1A expressed in E. Coli.
Conjugate :Unconjugated
Modification :Unmodification
Western blot analysis using CD1A mouse mAb against K562 (1), RAJI (2), and MOLT4 (3) cell lysate.
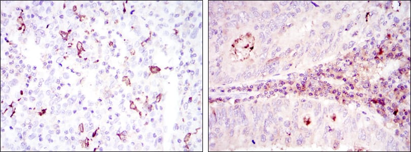
Immunohistochemical analysis of paraffin-embedded human cervical cancer tissues (left) and colon cancer tissues (right) using CD1A mouse mAb with DAB staining.
Immunofluorescence analysis of RAJI cells using CD1A mouse mAb (green). Blue: DRAQ5 fluorescent DNA dye.

关注我们

400-660-9091

电话:18013895086

地址:江苏生命科技创新园F6幢1层

订购:nanjing03@biogot.com

服务:biorase01@biogot.com

合作:lvyun@biogot.com

支持:may@biogot.com