中国 EN 400-660-9091

联系我们

电话:18013895086

电话:025-68037686

地址:江苏生命科技创新园F6幢1层

订购:nanjing03@biogot.com

服务:biorase01@biogot.com

合作:lvyun@biogot.com

支持:may@biogot.com

MAP2K6 monoclonal antibody

货号: MB21432
价格 1200
货期 现货(1-2个工作日)
25ug 50ug 100ug 200ug
No. :MB21432
Product Name :MAP2K6 monoclonal antibody
Swiss-Prot :P52564
Host :Mouse
Reactivity :Human,Mouse
Applications :WB,IHC
Application_all :WB:1/500 - 1/2000 IHC:1/200 - 1/1000
Background :This gene encodes a member of the dual specificity protein kinase family, which functions as a mitogen-activated protein (MAP) kinase kinase. MAP kinases, also known as extracellular signal-regulated kinases (ERKs), act as an integration point for multiple biochemical signals. This protein phosphorylates and activates p38 MAP kinase in response to inflammatory cytokines or environmental stress. As an essential component of p38 MAP kinase mediated signal transduction pathway, this gene is involved in many cellular processes such as stress induced cell cycle arrest, transcription activation and apoptosis. Tissue specificity: Isoform 2 is only expressed in skeletal muscle. Isoform 1, on the other hand, is found in skeletal muscle, heart, and in lesser extent in liver or pancreas.
Product :Purified antibody in PBS with 0.05% sodium azide.
Purification&Purity :The antibody was affinity-purified from mouse ascites by affinity-chromatography using epitope-specific immunogen and the purity is > 95% (by SDS-PAGE).
Storage&Stability :Store at 4°C short term. Aliquot and store at -20°C long term. Avoid freeze-thaw cycles.
Specificity :Mouse IgG1
BiowMW :38kDa
Note :For research use only, not for use in diagnostic procedure.
Alternative Name :MEK6; MKK6; MAPKK6; PRKMK6; SAPKK3; MAP2K6
Immunogen :Purified recombinant fragment of human MAP2K6 expressed in E. Coli.
Conjugate :Unconjugated
Modification :Unmodification
Western blot analysis using MAP2K6 mouse mAb against HepG2 (1), MCF-7 (2) and NIH/3T3 (3) cell lysate.
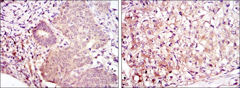
Immunohistochemical analysis of paraffin-embedded human ovarian cancer (left) and kidney cancer (right) using MAP2K6 mouse mAb with DAB staining.

关注我们

400-660-9091

电话:18013895086

地址:江苏生命科技创新园F6幢1层

订购:nanjing03@biogot.com

服务:biorase01@biogot.com

合作:lvyun@biogot.com

支持:may@biogot.com