中国 EN 400-660-9091

联系我们

电话:18013895086

电话:025-68037686

地址:江苏生命科技创新园F6幢1层

订购:nanjing03@biogot.com

服务:biorase01@biogot.com

合作:lvyun@biogot.com

支持:may@biogot.com

ATF2 monoclonal antibody

货号: MB21430
价格 1200
货期 现货(1-2个工作日)
25ug 50ug 100ug 200ug
No. :MB21430
Product Name :ATF2 monoclonal antibody
Swiss-Prot :P15336
Host :Mouse
Reactivity :Human,Mouse
Applications :WB,IHC
Application_all :WB:1/500 - 1/2000 IHC:1/200 - 1/1000
Background :This gene encodes a transcription factor that is a member of the leucine zipper family of DNA binding proteins. This protein binds to the cAMP-responsive element (CRE), an octameric palindrome. The protein forms a homodimer or heterodimer with c-Jun and stimulates CRE-dependent transcription. The protein is also a histone acetyltransferase (HAT) that specifically acetylates histones H2B and H4 in vitro; thus it may represent a class of sequence-specific factors that activate transcription by direct effects on chromatin components. Additional transcript variants have been identified but their biological validity has not been determined.Tissue specificity: Abundant expression seen in the brain.
Product :Ascitic fluid containing 0.03% sodium azide.
Purification&Purity :The antibody was affinity-purified from mouse ascites by affinity-chromatography using epitope-specific immunogen and the purity is > 95% (by SDS-PAGE).
Storage&Stability :Store at 4°C short term. Aliquot and store at -20°C long term. Avoid freeze-thaw cycles.
Specificity :Mouse IgG1
BiowMW :55kDa
Note :For research use only, not for use in diagnostic procedure.
Alternative Name :HB16; CREB2; TREB7; CRE-BP1; MGC111558; ATF2
Immunogen :Purified recombinant fragment of human ATF2 expressed in E. Coli.
Conjugate :Unconjugated
Modification :Unmodification
Western blot analysis using ATF2 mouse mAb against NIH/3T3 cell lysate.
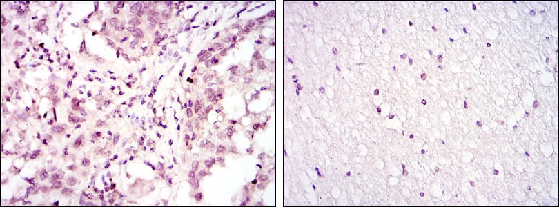
Immunohistochemical analysis of paraffin-embedded human lung cancer (left) and brain tissues (right) using ATF2 mouse mAb with DAB staining.

关注我们

400-660-9091

电话:18013895086

地址:江苏生命科技创新园F6幢1层

订购:nanjing03@biogot.com

服务:biorase01@biogot.com

合作:lvyun@biogot.com

支持:may@biogot.com