中国 EN 400-660-9091

联系我们

电话:18013895086

电话:025-68037686

地址:江苏生命科技创新园F6幢1层

订购:nanjing03@biogot.com

服务:biorase01@biogot.com

合作:lvyun@biogot.com

支持:may@biogot.com

PDK1 monoclonal antibody

货号: MB21421
价格 1200
货期 现货(1-2个工作日)
25ug 50ug 100ug 200ug
No. :MB21421
Product Name :PDK1 monoclonal antibody
Swiss-Prot :Q15118
Host :Mouse
Reactivity :Human,Rat,Monkey
Applications :WB,IHC,IF,FCM
Application_all :WB:1/500 - 1/2000 IHC:1/200 - 1/1000 IF:1/200 - 1/1000 FC:1/200 - 1/400
Background :Pyruvate dehydrogenase (PDH) is a mitochondrial multienzyme complex that catalyzes the oxidative decarboxylation of pyruvate and is one of the major enzymes responsible for the regulation of homeostasis of carbohydrate fuels in mammals. The enzymatic activity is regulated by a phosphorylation/dephosphorylation cycle. Phosphorylation of PDH by a specific pyruvate dehydrogenase kinase (PDK) results in inactivation. (provided by RefSeq). Tissue specificity: Expressed predominantly in the heart.
Product :Purified antibody in PBS with 0.05% sodium azide.
Purification&Purity :The antibody was affinity-purified from mouse ascites by affinity-chromatography using epitope-specific immunogen and the purity is > 95% (by SDS-PAGE).
Storage&Stability :Store at 4°C short term. Aliquot and store at -20°C long term. Avoid freeze-thaw cycles.
Specificity :Mouse IgG1
BiowMW :44kDa
Note :For research use only, not for use in diagnostic procedure.
Alternative Name :PDK1
Immunogen :Purified recombinant fragment of human PDK1 expressed in E. Coli.
Conjugate :Unconjugated
Modification :Unmodification
Western blot analysis using PDK1 mouse mAb against NIH/3T3 (1), Hela (2), Jurkat (3), HepG2 (4), PC-12 (5), and Cos7 (6) cell lysate.
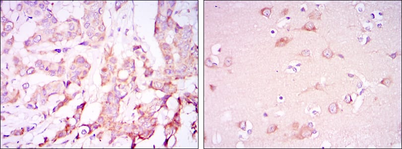
Immunohistochemical analysis of paraffin-embedded human breast cancer tissues (left) and brain tissues (right) using PDK1 mouse mAb with DAB staining.
Immunofluorescence analysis of HELA cells using PDK1 mouse mAb (green). Blue: DRAQ5 fluorescent DNA dye. Red: Actin filaments have been labeled with Alexa Fluor-555 phalloidin.
Flow cytometric analysis of Lovo cells using PDK1 mouse mAb (green) and negative control (purple).

关注我们

400-660-9091

电话:18013895086

地址:江苏生命科技创新园F6幢1层

订购:nanjing03@biogot.com

服务:biorase01@biogot.com

合作:lvyun@biogot.com

支持:may@biogot.com