中国 EN 400-660-9091

联系我们

电话:18013895086

电话:025-68037686

地址:江苏生命科技创新园F6幢1层

订购:nanjing03@biogot.com

服务:biorase01@biogot.com

合作:lvyun@biogot.com

支持:may@biogot.com

SOX2 monoclonal antibody

货号: MB21412
价格 1200
货期 现货(1-2个工作日)
25ug 50ug 100ug 200ug
No. :MB21412
Product Name :SOX2 monoclonal antibody
Swiss-Prot :P48431
Host :Mouse
Reactivity :Human,Mouse,Rat,Rabbit,Monkey
Applications :WB,IHC,IF,FCM
Application_all :WB:1/500-1/1000 IHC:1/200 - 1/1000 IF:1/200 - 1/1000 FC:1/200 - 1/400
Background :This intronless gene encodes a member of the SRY-related HMG-box (SOX) family of transcription factors involved in the regulation of embryonic development and in the determination of cell fate. The product of this gene is required for stem-cell maintenance in the central nervous system, and also regulates gene expression in the stomach. Mutations in this gene have been associated with optic nerve hypoplasia and with syndromic microphthalmia, a severe form of structural eye malformation. This gene lies within an intron of another gene called SOX2 overlapping transcript (SOX2OT).
Product :Ascitic fluid containing 0.03% sodium azide.
Purification&Purity :The antibody was affinity-purified from mouse ascites by affinity-chromatography using epitope-specific immunogen and the purity is > 95% (by SDS-PAGE).
Storage&Stability :Store at 4°C short term. Aliquot and store at -20°C long term. Avoid freeze-thaw cycles.
Specificity :Mouse IgG1
BiowMW :34kDa
Note :For research use only, not for use in diagnostic procedure.
Alternative Name :ANOP3; MCOPS3
Immunogen :Purified recombinant fragment of human SOX2 expressed in E. Coli.
Conjugate :Unconjugated
Modification :Unmodification
Western blot analysis using SOX2 mouse mAb against C6(1),F9(2) cell lysate.
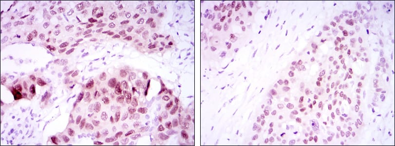
Immunohistochemical analysis of paraffin-embedded human lung cancer tissues (left) and esophageal cancer tissues (right) using SOX2 mouse mAb with DAB staining.
Immunofluorescence analysis of NTERA-2 cells using SOX2 mouse mAb (green). Red: Actin filaments have been labeled with Alexa Fluor-555 phalloidin.
Flow cytometric analysis of COS7 cells using SOX2 mouse mAb (green) and negative control (red).

关注我们

400-660-9091

电话:18013895086

地址:江苏生命科技创新园F6幢1层

订购:nanjing03@biogot.com

服务:biorase01@biogot.com

合作:lvyun@biogot.com

支持:may@biogot.com