中国 EN 400-660-9091

联系我们

电话:18013895086

电话:025-68037686

地址:江苏生命科技创新园F6幢1层

订购:nanjing03@biogot.com

服务:biorase01@biogot.com

合作:lvyun@biogot.com

支持:may@biogot.com

FOXD3 monoclonal antibody

货号: MB21409
价格 1200
货期 现货(1-2个工作日)
25ug 50ug 100ug 200ug
No. :MB21409
Product Name :FOXD3 monoclonal antibody
Swiss-Prot :Q9UJU5
Host :Mouse
Reactivity :Human,Mouse,Monkey
Applications :WB,IHC
Application_all :WB:1/500 - 1/2000 IHC:1/200 - 1/1000
Background :FoxD3 is a member of the Forkhead Box family and is characterized by a winged-helix DNA-binding structure and the important role it plays in embryonic development . This transcriptional regulator is required for the maintenance of pluripotency in the pre-implantation and peri-implantation stages of mouse embryonic development and is also required for trophoblast formation. FoxD3 is required for the maintenance of the mammalian neural crest; FoxD3(-/-) mouse embryos fail around the time of implantation with loss of neural crest-derived structures. FoxD3 also forms a regulatory network with Oct-4 and NANOG to maintain the pluripotency of ES cells. Promotes development of neural crest cells from neural tube progenitors. Restricts neural progenitor cells to the neural crest lineage while suppressing interneuron differentiation. Required for maintenance of pluripotent cells in the pre-implantation and peri-implantation stages of embryogenesis. Tissue specificity: Expressed in chronic myeloid leukemia, Jurkat T-cell leukemia and teratocarcinoma cell lines, but not in any other cell lines or normal tissues examined.
Product :Purified antibody in PBS with 0.05% sodium azide.
Purification&Purity :The antibody was affinity-purified from mouse ascites by affinity-chromatography using epitope-specific immunogen and the purity is > 95% (by SDS-PAGE).
Storage&Stability :Store at 4°C short term. Aliquot and store at -20°C long term. Avoid freeze-thaw cycles.
Specificity :Mouse IgG1
BiowMW :50kDa
Note :For research use only, not for use in diagnostic procedure.
Alternative Name :AIS1; HFH2; Genesis; FOXD3
Immunogen :Purified recombinant fragment of human FOXD3 expressed in E. Coli.
Conjugate :Unconjugated
Modification :Unmodification
Western blot analysis using FOXD3 mouse mAb against NTERA-2 (1), HUVE-12 (2), HEK293 (3), Hela (4), Jurkat (5), K562 (6), RAW264.7 (7), NIH/3T3 (8), and COS7 (9) cell lysate.
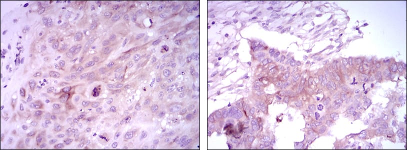
Immunohistochemical analysis of paraffin-embedded human lung cancer tissues (left) and ovarian cancer tissues (right) using FOXD3 mouse mAb with DAB staining.

关注我们

400-660-9091

电话:18013895086

地址:江苏生命科技创新园F6幢1层

订购:nanjing03@biogot.com

服务:biorase01@biogot.com

合作:lvyun@biogot.com

支持:may@biogot.com