中国 EN 400-660-9091

联系我们

电话:18013895086

电话:025-68037686

地址:江苏生命科技创新园F6幢1层

订购:nanjing03@biogot.com

服务:biorase01@biogot.com

合作:lvyun@biogot.com

支持:may@biogot.com

IGF2BP3 monoclonal antibody

货号: MB21398
价格 1200
货期 现货(1-2个工作日)
25ug 50ug 100ug 200ug
No. :MB21398
Product Name :IGF2BP3 monoclonal antibody
Swiss-Prot :O00425
Host :Mouse
Reactivity :Human
Applications :WB,IHC
Application_all :WB:1/500 - 1/2000 IHC:1/200 - 1/1000
Background :The protein encoded by this gene is primarily found in the nucleolus, where it can bind to the 5' UTR of the insulin-like growth factor II leader 3 mRNA and may repress translation of insulin-like growth factor II during late development. The encoded protein contains several KH domains, which are important in RNA binding and are known to be involved in RNA synthesis and metabolism.Tissue specificity: Expressed in fetal liver, fetal lung, fetal kidney, fetal thymus, fetal placenta, fetal follicles of ovary and gonocytes of testis, growing oocytes, spermatogonia and semen (at protein level). Expressed in cervix adenocarcinoma, in testicular, pancreatic and renal-cell carcinomas (at protein level). Expressed ubiquitously during fetal development at 8 and 14 weeks of gestation. Expressed in ovary, testis, brain, placenta, pancreatic cancer tissues and pancreatic cancer cell lines .IMP-3 is a marker for carcinomas and high-grade dysplastic lesions of pancreatic ductal epithelium.
Product :Ascitic fluid containing 0.03% sodium azide.
Purification&Purity :The antibody was affinity-purified from mouse ascites by affinity-chromatography using epitope-specific immunogen and the purity is > 95% (by SDS-PAGE).
Storage&Stability :Store at 4°C short term. Aliquot and store at -20°C long term. Avoid freeze-thaw cycles.
Specificity :Mouse IgG1
BiowMW :69kDa
Note :For research use only, not for use in diagnostic procedure.
Alternative Name :CT98; IMP3; KOC1; IMP-3; VICKZ3; DKFZp686F1078; IGF2BP3
Immunogen :Purified recombinant fragment of human IGF2BP3 expressed in E. Coli.
Conjugate :Unconjugated
Modification :Unmodification
Western blot analysis using IGF2BP3 mouse mAb against Jurkat (1), K562 (2) and NTERA-2 (3) cell lysate.
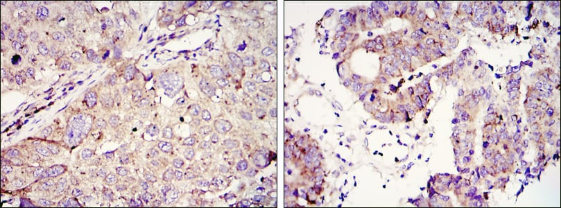
Immunohistochemical analysis of paraffin-embedded human lung cancer (left) and colon tumour tissues (right) using IGC2BP3 mouse mAb with DAB staining.

关注我们

400-660-9091

电话:18013895086

地址:江苏生命科技创新园F6幢1层

订购:nanjing03@biogot.com

服务:biorase01@biogot.com

合作:lvyun@biogot.com

支持:may@biogot.com