中国 EN 400-660-9091

联系我们

电话:18013895086

电话:025-68037686

地址:江苏生命科技创新园F6幢1层

订购:nanjing03@biogot.com

服务:biorase01@biogot.com

合作:lvyun@biogot.com

支持:may@biogot.com

STAT3 monoclonal antibody

货号: MB21391
价格 1200
货期 现货(1-2个工作日)
25ug 50ug 100ug 200ug
No. :MB21391
Product Name :STAT3 monoclonal antibody
Swiss-Prot :P40763
Host :Mouse
Reactivity :Human,Mouse,Rat,Monkey
Applications :WB,IHC,IF
Application_all :WB:1/500-1/1000 IHC:1/200 - 1/1000 IF:1/200 - 1/1000
Background :The Stat3 transcription factor is an important signaling molecule for many cytokines and growth-factor receptors and is required for murine fetal development . Stat3 is constitutively activated in a number of human tumors and possesses oncogenic potential and anti-apoptotic activities. Stat3 is activated by phosphorylation at Tyr705, which induces dimerization, nuclear translocation and DNA binding. Transcriptional activation seems to be regulated by phosphorylation at Ser727 through the MAPK or mTOR pathways. Stat3 isoform expression appears to reflect biological function as the relative expression levels of Stat3a (86 kDa) and Stat3
Product :Purified antibody in PBS with 0.05% sodium azide.
Purification&Purity :The antibody was affinity-purified from mouse ascites by affinity-chromatography using epitope-specific immunogen and the purity is > 95% (by SDS-PAGE).
Storage&Stability :Store at 4°C short term. Aliquot and store at -20°C long term. Avoid freeze-thaw cycles.
Specificity :Mouse IgG1
BiowMW :88kDa
Note :For research use only, not for use in diagnostic procedure.
Alternative Name :APRF; HIES; FLJ20882; MGC16063; STAT3
Immunogen :Purified recombinant fragment of human STAT3 expressed in E. Coli.
Conjugate :Unconjugated
Modification :Unmodification
Western blot analysis using STAT3 mouse mAb against Hela (1),NIH/3T3 (2), Jurkat (3), PC-12 (4) and COS7 (5) cell lysate.
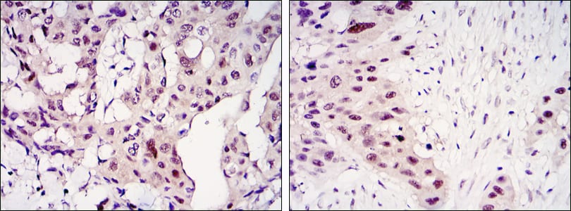
Immunohistochemical analysis of paraffin-embedded human mammary cancer tissues (left) and lung cancer tissues (right) using STAT3 mouse mAb with DAB staining.
Immunofluorescence analysis of Hela cells using STAT3 mouse mAb (green). Blue: DRAQ5 fluorescent DNA dye. Red: Actin filaments have been labeled with Alexa Fluor-555 phalloidin.

关注我们

400-660-9091

电话:18013895086

地址:江苏生命科技创新园F6幢1层

订购:nanjing03@biogot.com

服务:biorase01@biogot.com

合作:lvyun@biogot.com

支持:may@biogot.com