中国 EN 400-660-9091

联系我们

电话:18013895086

电话:025-68037686

地址:江苏生命科技创新园F6幢1层

订购:nanjing03@biogot.com

服务:biorase01@biogot.com

合作:lvyun@biogot.com

支持:may@biogot.com

CDH1 monoclonal antibody

货号: MB21390
价格 1200
货期 现货(1-2个工作日)
25ug 50ug 100ug 200ug
No. :MB21390
Product Name :CDH1 monoclonal antibody
Swiss-Prot :P12830
Host :Mouse
Reactivity :Human,Mouse,Monkey
Applications :WB,IHC,FCM
Application_all :WB:1/500 - 1/2000 IHC:1/200 - 1/1000 FC:1/200 - 1/400
Background :E-Cadherin is a 120 kDa transmembrane glycoprotein that is localized in the adherens junctions of epithelial cells. There, it interacts with the cytoskeleton through the associated cytoplasmic catenin proteins. In addition to being a calcium-dependent adhesion molecule, E-Cadherin is also a critical regulator of epithelial junction formation. Its association with catenins is necessary for cell-cell adhesion. These E-cadherin/catenin complexes associate with corical actin bundles at both the zonula adherens and the lateral adhesion plaques. Tyrosine phosphorylation can disrupt these complexes, leading to changes in cell adhesion properties. E-Cadherin expression is often down-regulated in highly invasive, poorly differentiated carcinomas. Increased expression of E-Cadherin in these cells reduces invasiveness. Thus, loss of expression or function of E-Cadherin appears to be an important step in tumorigenic progression.Tissue specificity: Non-neural epithelial tissues.
Product :Purified antibody in PBS with 0.05% sodium azide.
Purification&Purity :The antibody was affinity-purified from mouse ascites by affinity-chromatography using epitope-specific immunogen and the purity is > 95% (by SDS-PAGE).
Storage&Stability :Store at 4°C short term. Aliquot and store at -20°C long term. Avoid freeze-thaw cycles.
Specificity :Mouse IgG1
BiowMW :135kDa
Note :For research use only, not for use in diagnostic procedure.
Alternative Name :UVO; CDHE; ECAD; LCAM; Arc-1; CD324; CDH1;E-cadherin;E cadherin
Immunogen :Purified recombinant fragment of human CDH1 expressed in E. Coli.
Conjugate :Unconjugated
Modification :Unmodification
Western blot analysis using CDH1 mouse mAb against LNCAP (1)?A431 (2), DU145 (3), PC-3 (4), MCF-7 (5), PC-12 (6), NIH/3T3 (7), C6 (8) and COS7 (9) cell lysate.
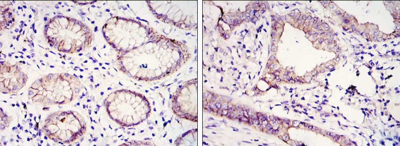
Immunohistochemical analysis of paraffin-embedded human gastric cancer tissues (left) and lung cancer tissues (right) using CDH1 mouse mAb with DAB staining.

关注我们

400-660-9091

电话:18013895086

地址:江苏生命科技创新园F6幢1层

订购:nanjing03@biogot.com

服务:biorase01@biogot.com

合作:lvyun@biogot.com

支持:may@biogot.com