中国 EN 400-660-9091

联系我们

电话:18013895086

电话:025-68037686

地址:江苏生命科技创新园F6幢1层

订购:nanjing03@biogot.com

服务:biorase01@biogot.com

合作:lvyun@biogot.com

支持:may@biogot.com

ERBB2 monoclonal antibody

货号: MB21382
价格 1200
货期 现货(1-2个工作日)
25ug 50ug 100ug 200ug
No. :MB21382
Product Name :ERBB2 monoclonal antibody
Swiss-Prot :P04626
Host :Mouse
Reactivity :Human
Applications :WB,IHC,FCM
Application_all :WB:1/500 - 1/2000 IHC:1/200 - 1/1000 FC:1/200 - 1/400
Background :ERBB2: v-erb-b2 erythroblastic leukemia viral oncogene homolog 2, neuro/glioblastoma derived oncogene homolog (avian). This gene encodes a member of the epidermal growth factor (EGF) receptor family of receptor tyrosine kinases. This protein has no ligand binding domain of its own and therefore cannot bind growth factors. However, it does bind tightly to other ligand-bound EGF receptor family members to form a heterodimer, stabilizing ligand binding and enhancing kinase-mediated activation of downstream signalling pathways, such as those involving mitogen-activated protein kinase and phosphatidylinositol-3 kinase. Allelic variations at amino acid positions 654 and 655 of isoform a (positions 624 and 625 of isoform b) have been reported, with the most common allele, Ile654/Ile655, shown here. Amplification and/or overexpression of this gene has been reported in numerous cancers, including breast and ovarian tumors. Alternative splicing results in several additional transcript variants, some encoding different isoforms and others that have not been fully characterized.
Product :Purified antibody in PBS with 0.05% sodium azide.
Purification&Purity :The antibody was affinity-purified from mouse ascites by affinity-chromatography using epitope-specific immunogen and the purity is > 95% (by SDS-PAGE).
Storage&Stability :Store at 4°C short term. Aliquot and store at -20°C long term. Avoid freeze-thaw cycles.
Specificity :Mouse IgG1
BiowMW :180kDa
Note :For research use only, not for use in diagnostic procedure.
Alternative Name :NEU; HER2; TKR1; CD340; HER-2
Immunogen :Purified recombinant fragment of human ERBB2(aa750-987) expressed in E. Coli.
Conjugate :Unconjugated
Modification :Unmodification
Western blot analysis using ERBB2 mouse mAb against SKBR3 (1) and MCF-7 (2) cell lysate.
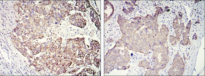
Immunohistochemical analysis of paraffin-embedded human galactophore tumour using ERBB2 mouse mAb with DAB staining

关注我们

400-660-9091

电话:18013895086

地址:江苏生命科技创新园F6幢1层

订购:nanjing03@biogot.com

服务:biorase01@biogot.com

合作:lvyun@biogot.com

支持:may@biogot.com