中国 EN 400-660-9091

联系我们

电话:18013895086

电话:025-68037686

地址:江苏生命科技创新园F6幢1层

订购:nanjing03@biogot.com

服务:biorase01@biogot.com

合作:lvyun@biogot.com

支持:may@biogot.com

WIF1 monoclonal antibody

货号: MB21381
价格 1200
货期 现货(1-2个工作日)
25ug 50ug 100ug 200ug
No. :MB21381
Product Name :WIF1 monoclonal antibody
Swiss-Prot :Q9Y5W5
Host :Mouse
Reactivity :Human
Applications :WB,IHC,IF
Application_all :WB:1/500 - 1/2000 IHC:1/200 - 1/1000 IF:1/200 - 1/1000
Background :The protein encoded by this gene functions to inhibit WNT proteins, which are extracellular signaling molecules that play a role in embryonic development. This protein contains a WNT inhibitory factor (WIF) domain and five epidermal growth factor (EGF)-like domains, and is thought to be involved in mesoderm segmentation. This gene functions as a tumor suppressor gene, and has been found to be epigenetically silenced in various cancers.
Product :Purified antibody in PBS with 0.05% sodium azide.
Purification&Purity :The antibody was affinity-purified from mouse ascites by affinity-chromatography using epitope-specific immunogen and the purity is > 95% (by SDS-PAGE).
Storage&Stability :Store at 4°C short term. Aliquot and store at -20°C long term. Avoid freeze-thaw cycles.
Specificity :Mouse IgG1
BiowMW :42kDa
Note :For research use only, not for use in diagnostic procedure.
Alternative Name :WIF-1; WIF
Immunogen :Purified recombinant fragment of human WIF1 expressed in E. Coli.
Conjugate :Unconjugated
Modification :Unmodification
Western blot analysis using WIF1 mouse mAb against Hela (1), NIH/3T3 (2) and NTERA-2 (3) cell lysate.
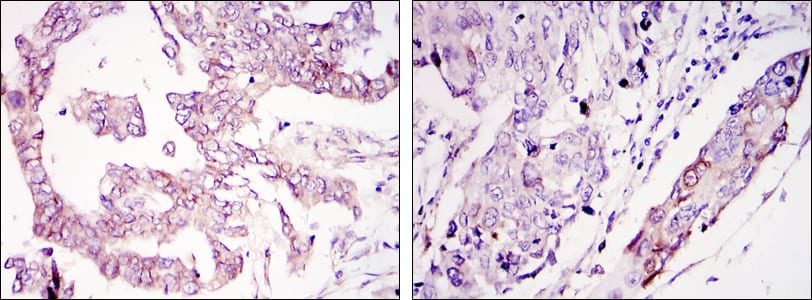
Immunohistochemical analysis of paraffin-embedded human ovary tumour tissues (left) and lung cancer (right) using WIF1 mouse mAb with DAB staining.
Immunofluorescence analysis of Hela cells using WIF1 mouse mAb (green). Red: Actin filaments have been labeled with Alexa Fluor-555 phalloidin.

关注我们

400-660-9091

电话:18013895086

地址:江苏生命科技创新园F6幢1层

订购:nanjing03@biogot.com

服务:biorase01@biogot.com

合作:lvyun@biogot.com

支持:may@biogot.com