中国 EN 400-660-9091

联系我们

电话:18013895086

电话:025-68037686

地址:江苏生命科技创新园F6幢1层

订购:nanjing03@biogot.com

服务:biorase01@biogot.com

合作:lvyun@biogot.com

支持:may@biogot.com

GFAP monoclonal antibody

货号: MB21378
价格 1200
货期 现货(1-2个工作日)
25ug 50ug 100ug 200ug
No. :MB21378
Product Name :GFAP monoclonal antibody
Swiss-Prot :P14136
Host :Mouse
Reactivity :Human
Applications :WB,IHC,IF
Application_all :WB:1/500 - 1/2000 IHC:1/200 - 1/1000 IF:1/200 - 1/1000
Background :GFAP, a class-III intermediate filament, is a cell-specific marker that, during the development of the central nervous system, distinguishes astrocytes from other glial cells.Tissue specificity: Expressed in cells lacking fibronectin.ABCAM:It is heavily, and specifically, expressed in astrocytes and certain other astroglia in the central nervous system, in satellite cells in peripheral ganglia, and in non myelinating Schwann cells in peripheral nerves.In addition many types of brain tumor, presumably derived from astrocytic cells, heavily express GFAP. GFAP is also found in the lens epithelium, Kupffer cells of the liver, in some cells in salivary tumors and has been reported in erythrocytes.
Product :Purified antibody in PBS with 0.05% sodium azide.
Purification&Purity :The antibody was affinity-purified from mouse ascites by affinity-chromatography using epitope-specific immunogen and the purity is > 95% (by SDS-PAGE).
Storage&Stability :Store at 4°C short term. Aliquot and store at -20°C long term. Avoid freeze-thaw cycles.
Specificity :Mouse IgG1
BiowMW :50kDa
Note :For research use only, not for use in diagnostic procedure.
Alternative Name :FLJ45472; GFAP
Immunogen :Purified recombinant fragment of human GFAP expressed in E. Coli.
Conjugate :Unconjugated
Modification :Unmodification
Western blot analysis using GFAP mouse mAb against A431 (1), SK-N-SH (2) and PC12 (3) cell lysate.
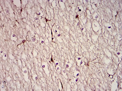
Immunohistochemical analysis of paraffin-embedded human brain tissues using GFAP mouse mAb with DAB staining
Immunofluorescence analysis of paraffin-embedded human lobe of brain tissues using GFAP mouse mAb (green).

关注我们

400-660-9091

电话:18013895086

地址:江苏生命科技创新园F6幢1层

订购:nanjing03@biogot.com

服务:biorase01@biogot.com

合作:lvyun@biogot.com

支持:may@biogot.com