中国 EN 400-660-9091

联系我们

电话:18013895086

电话:025-68037686

地址:江苏生命科技创新园F6幢1层

订购:nanjing03@biogot.com

服务:biorase01@biogot.com

合作:lvyun@biogot.com

支持:may@biogot.com

RICTOR monoclonal antibody

货号: MB21365
价格 1200
货期 现货(1-2个工作日)
25ug 50ug 100ug 200ug
No. :MB21365
Product Name :RICTOR monoclonal antibody
Swiss-Prot :Q6R327
Host :Mouse
Reactivity :Human,Mouse,Monkey
Applications :WB,IHC,IF,FCM
Application_all :WB:1/500 - 1/2000 IHC:1/200 - 1/1000 IF:1/200 - 1/1000 FC:1/200 - 1/400
Background :Cell growth is a fundamental biological process whereby cells accumulate mass and increase in size. The mammalian TOR (mTOR) pathway regulates growth by coordinating energy and nutrient signals with growth factor-derived signals . mTOR is a large protein kinase with two different complexes. One complex contains mTOR, G
Product :Purified antibody in PBS with 0.05% sodium azide.
Purification&Purity :The antibody was affinity-purified from mouse ascites by affinity-chromatography using epitope-specific immunogen and the purity is > 95% (by SDS-PAGE).
Storage&Stability :Store at 4°C short term. Aliquot and store at -20°C long term. Avoid freeze-thaw cycles.
Specificity :Mouse IgG1
BiowMW :192kDa
Note :For research use only, not for use in diagnostic procedure.
Alternative Name :PIA; mAVO3; KIAA1999; MGC39830; DKFZp686B11164; RICTOR
Immunogen :Purified recombinant fragment of human RICTOR expressed in E. Coli.
Conjugate :Unconjugated
Modification :Unmodification
Western blot analysis using RICTOR mouse mAb against Hela (1), PANC-1 (2), MOLT4 (3), HepG2 (4) and HEK293 (5) cell lysate.
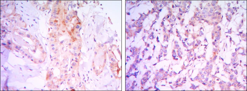
Immunohistochemical analysis of paraffin-embedded human thyroid gland tissues (left) and human breast carcinoma (right) using RICTOR mouse mAb with DAB staining.
Immunofluorescence analysis of NIH/3T3 cells using RICTOR mouse mAb (green). Blue: DRAQ5 fluorescent DNA dye. Red: Actin filaments have been labeled with Alexa Fluor-555 phalloidin.
Flow cytometric analysis of Hela cells using RICTOR mouse mAb (green) and negative control (purple).

关注我们

400-660-9091

电话:18013895086

地址:江苏生命科技创新园F6幢1层

订购:nanjing03@biogot.com

服务:biorase01@biogot.com

合作:lvyun@biogot.com

支持:may@biogot.com