中国 EN 400-660-9091

联系我们

电话:18013895086

电话:025-68037686

地址:江苏生命科技创新园F6幢1层

订购:nanjing03@biogot.com

服务:biorase01@biogot.com

合作:lvyun@biogot.com

支持:may@biogot.com

SIRT1 monoclonal antibody

货号: MB21361
价格 1200
货期 现货(1-2个工作日)
25ug 50ug 100ug 200ug
No. :MB21361
Product Name :SIRT1 monoclonal antibody
Swiss-Prot :Q96EB6
Host :Mouse
Reactivity :Human,Mouse,Rat,Rabbit,Monkey
Applications :WB,IHC,IF,FCM
Application_all :WB:1/500 - 1/2000 IHC:1/200 - 1/1000 IF:1/200 - 1/1000 FC:1/200 - 1/400
Background :The Sir2 protein in yeast is known to function in transcriptional silencing processes through the deacetylation of histones H3 and H4. The more recently described human homologue of Sir2, known as SIRT1, has been found to associate with the tumor suppressor protein p53.SIRT1 binds and deacetylates p53 with specificity for its C-terminal Lys382 residue in response to the upregulation of promyelocytic leukemia protein (PML) nuclear bodies or oncogenic Ras. The deacetylation of p53 SIRT1 has been shown to negatively regulate p53-mediated transcription, preventing cellular senescence and apoptosis induced by DNA damage and stress.SIRT1 has the closest homology to the yeast Sir2p and is widely expressed in fetal and adult tissues, with high expression in heart, brain and skeletal muscle and low expression in lung and placenta. SIRT1 regulates the p53-dependent DNA damage response pathway by binding to and deacetylating p53, specifically at Lysine 382.
Product :Purified antibody in PBS with 0.05% sodium azide.
Purification&Purity :The antibody was affinity-purified from mouse ascites by affinity-chromatography using epitope-specific immunogen and the purity is > 95% (by SDS-PAGE).
Storage&Stability :Store at 4°C short term. Aliquot and store at -20°C long term. Avoid freeze-thaw cycles.
Specificity :Mouse IgG1
BiowMW :120kDa
Note :For research use only, not for use in diagnostic procedure.
Alternative Name :SIR2L1; SIRT1
Immunogen :Purified recombinant fragment of human SIRT1 expressed in E. Coli.
Conjugate :Unconjugated
Modification :Unmodification
Western blot analysis using SIRT1 mouse mAb against MCF-7 (1), Jurkat (2), Hela (3), HEK293 (4) and A549 (5) cell lysate.
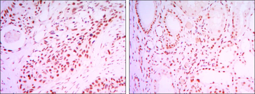
Immunohistochemical analysis of paraffin-embedded human lung cancer tissues (left) and kidney cancer tissues (right) using SIRT1 mouse mAb with DAB staining.
Immunofluorescence analysis of NTERA-2 cells using SIRT1 mouse mAb (green). Red: Actin filaments have been labeled with Alexa Fluor-555 phalloidin.
Flow cytometric analysis of K562 cells using SIRT1 mouse mAb (green) and negative control (purple).

关注我们

400-660-9091

电话:18013895086

地址:江苏生命科技创新园F6幢1层

订购:nanjing03@biogot.com

服务:biorase01@biogot.com

合作:lvyun@biogot.com

支持:may@biogot.com