中国 EN 400-660-9091

联系我们

电话:18013895086

电话:025-68037686

地址:江苏生命科技创新园F6幢1层

订购:nanjing03@biogot.com

服务:biorase01@biogot.com

合作:lvyun@biogot.com

支持:may@biogot.com

THAP11 monoclonal antibody

货号: MB21358
价格 1200
货期 现货(1-2个工作日)
25ug 50ug 100ug 200ug
No. :MB21358
Product Name :THAP11 monoclonal antibody
Swiss-Prot :Q96EK4
Host :Mouse
Reactivity :Human
Applications :WB,IHC,IF,FCM
Application_all :WB:1/500 - 1/2000 IHC:1/200 - 1/1000 IF:1/200 - 1/1000 FC:1/200 - 1/400
Background :The protein encoded by this gene contains a THAP domain, which is a conserved DNA-binding domain that has striking similarity to the site-specific DNA-binding domain (DBD) of Drosophila P element transposases.
Product :Ascitic fluid containing 0.03% sodium azide.
Purification&Purity :The antibody was affinity-purified from mouse ascites by affinity-chromatography using epitope-specific immunogen and the purity is > 95% (by SDS-PAGE).
Storage&Stability :Store at 4°C short term. Aliquot and store at -20°C long term. Avoid freeze-thaw cycles.
Specificity :Mouse IgG1
BiowMW :44kDa
Note :For research use only, not for use in diagnostic procedure.
Alternative Name :RONIN; CTG-B43a; CTG-B45d; HRIHFB2206; THAP11
Immunogen :Purified recombinant fragment of human THAP11 expressed in E. Coli.
Conjugate :Unconjugated
Modification :Unmodification
Western blot analysis using THAP11 mouse mAb against Hela (1) and NTERA-2 (2) cell lysate.
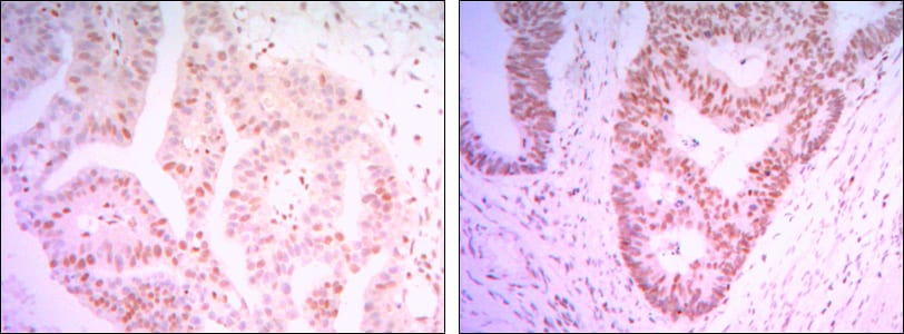
Immunohistochemical analysis of paraffin-embedded human colon cancer tissues (left) and ovary cancer tissues (right) using THAP11 mouse mAb with DAB staining.
Immunofluorescence analysis of NTERA-2 cells using THAP11 mouse mAb (green). Red: Actin filaments have been labeled with Alexa Fluor-555 phalloidin.
Flow cytometric analysis of Hela cells using THAP11 mouse mAb (green) and negative control (purple).

关注我们

400-660-9091

电话:18013895086

地址:江苏生命科技创新园F6幢1层

订购:nanjing03@biogot.com

服务:biorase01@biogot.com

合作:lvyun@biogot.com

支持:may@biogot.com