中国 EN 400-660-9091

联系我们

电话:18013895086

电话:025-68037686

地址:江苏生命科技创新园F6幢1层

订购:nanjing03@biogot.com

服务:biorase01@biogot.com

合作:lvyun@biogot.com

支持:may@biogot.com

TBLR1 monoclonal antibody

货号: MB21291
价格 1200
货期 现货(1-2个工作日)
25ug 50ug 100ug 200ug
No. :MB21291
Product Name :TBLR1 monoclonal antibody
Swiss-Prot :Q9BZK7
Host :Mouse
Reactivity :Human,Mouse
Applications :WB,IHC,FCM
Application_all :WB:1/500 - 1/2000 IHC:1/200 - 1/1000 FC:1/200 - 1/400
Background :The protein encoded by this gene has sequence similarity with members of the WD40 repeat-containing protein family. The WD40 group is a large family of proteins, which appear to have a regulatory function. It is believed that the WD40 repeats mediate protein-protein interactions and members of the family are involved in signal transduction, RNA processing, gene regulation, vesicular trafficking, cytoskeletal assembly and may play a role in the control of cytotypic differentiation. <br /><br />
Product :Purified antibody in PBS with 0.05% sodium azide.
Purification&Purity :The antibody was affinity-purified from mouse ascites by affinity-chromatography using epitope-specific immunogen and the purity is > 95% (by SDS-PAGE).
Storage&Stability :Store at 4°C short term. Aliquot and store at -20°C long term. Avoid freeze-thaw cycles.
Specificity :Mouse IgG1
BiowMW :55.5kDa
Note :For research use only, not for use in diagnostic procedure.
Alternative Name :C21; DC42; IRA1; TBL1XR1
Immunogen :Purified recombinant fragment of human TBLR1 expressed in E. Coli.
Conjugate :Unconjugated
Modification :Unmodification
Western blot analysis using TBLR1 mouse mAb against Mouse heart (1) tissue lysate and K562 (2) cell lysate.
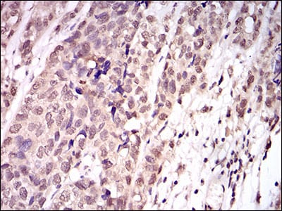
Immunohistochemical analysis of paraffin-embedded human bladder cancer tissues using TBLR1 mouse mAb with DAB staining.

关注我们

400-660-9091

电话:18013895086

地址:江苏生命科技创新园F6幢1层

订购:nanjing03@biogot.com

服务:biorase01@biogot.com

合作:lvyun@biogot.com

支持:may@biogot.com