中国 EN 400-660-9091

联系我们

电话:18013895086

电话:025-68037686

地址:江苏生命科技创新园F6幢1层

订购:nanjing03@biogot.com

服务:biorase01@biogot.com

合作:lvyun@biogot.com

支持:may@biogot.com

HNRNPU monoclonal antibody

货号: MB21289
价格 1200
货期 现货(1-2个工作日)
25ug 50ug 100ug 200ug
No. :MB21289
Product Name :HNRNPU monoclonal antibody
Swiss-Prot :Q00839
Host :Mouse
Reactivity :Human
Applications :WB,IHC,FCM
Application_all :WB:1/500 - 1/2000 IHC:1/200 - 1/1000 FC:1/200 - 1/400
Background :This gene belongs to the subfamily of ubiquitously expressed heterogeneous nuclear ribonucleoproteins (hnRNPs). The hnRNPs are RNA binding proteins and they form complexes with heterogeneous nuclear RNA (hnRNA). These proteins are associated with pre-mRNAs in the nucleus and appear to influence pre-mRNA processing and other aspects of mRNA metabolism and transport. While all of the hnRNPs are present in the nucleus, some seem to shuttle between the nucleus and the cytoplasm. The hnRNP proteins have distinct nucleic acid binding properties. The protein encoded by this gene contains a RNA binding domain and scaffold-associated region (SAR)-specific bipartite DNA-binding domain. This protein is also thought to be involved in the packaging of hnRNA into large ribonucleoprotein complexes. During apoptosis, this protein is cleaved in a caspase-dependent way. Cleavage occurs at the SALD site, resulting in a loss of DNA-binding activity and a concomitant detachment of this protein from nuclear structural sites. But this cleavage does not affect the function of the encoded protein in RNA metabolism. At least two alternatively spliced transcript variants have been identified for this gene. <br /><br />
Product :Purified antibody in PBS with 0.05% sodium azide.
Purification&Purity :The antibody was affinity-purified from mouse ascites by affinity-chromatography using epitope-specific immunogen and the purity is > 95% (by SDS-PAGE).
Storage&Stability :Store at 4°C short term. Aliquot and store at -20°C long term. Avoid freeze-thaw cycles.
Specificity :Mouse IgG1
BiowMW :90kDa
Note :For research use only, not for use in diagnostic procedure.
Alternative Name :HNRPU; SAF-A; U21.1; hnRNP U
Immunogen :Purified recombinant fragment of human HNRNPU expressed in E. Coli.
Conjugate :Unconjugated
Modification :Unmodification
Western blot analysis using HNRNPU mouse mAb against K562 (1) and Jurkat (2) cell lysate.
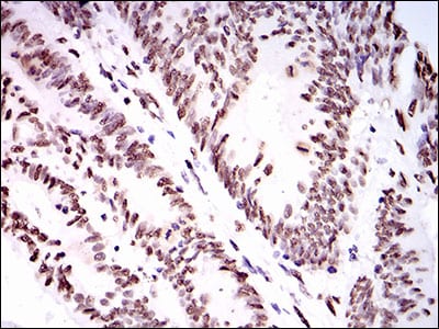
Immunohistochemical analysis of paraffin-embedded human colon cancer tissues using HNRNPU mouse mAb with DAB staining.

关注我们

400-660-9091

电话:18013895086

地址:江苏生命科技创新园F6幢1层

订购:nanjing03@biogot.com

服务:biorase01@biogot.com

合作:lvyun@biogot.com

支持:may@biogot.com