中国 EN 400-660-9091

联系我们

电话:18013895086

电话:025-68037686

地址:江苏生命科技创新园F6幢1层

订购:nanjing03@biogot.com

服务:biorase01@biogot.com

合作:lvyun@biogot.com

支持:may@biogot.com

FAK monoclonal antibody

货号: MB21286
价格 1200
货期 现货(1-2个工作日)
25ug 50ug 100ug 200ug
No. :MB21286
Product Name :FAK monoclonal antibody
Swiss-Prot :Q05397
Host :Mouse
Reactivity :Human,Mouse
Applications :WB,IHC,IF
Application_all :WB:1/500 - 1/2000 IHC:1/200 - 1/1000 IF:1/200 - 1/1000
Background :This gene encodes a cytoplasmic protein tyrosine kinase which is found concentrated in the focal adhesions that form between cells growing in the presence of extracellular matrix constituents. The encoded protein is a member of the FAK subfamily of protein tyrosine kinases but lacks significant sequence similarity to kinases from other subfamilies. Activation of this gene may be an important early step in cell growth and intracellular signal transduction pathways triggered in response to certain neural peptides or to cell interactions with the extracellular matrix. At least four transcript variants encoding four different isoforms have been found for this gene, but the full-length natures of only two of them have been determined. Tissue specificity: Expressed in all organs tested, in lymphoid cell lines, but most abundantly in brain.RD: Focal adhesion kinase 1 (FAK) is a ubiquitously expressed non-receptor protein tyrosine kinase that is concentrated in the focal adhesions that form between cells growing in the presence of extracellular matrix constituents. This cellular localization is directed by a
Product :Purified antibody in PBS with 0.05% sodium azide.
Purification&Purity :The antibody was affinity-purified from mouse ascites by affinity-chromatography using epitope-specific immunogen and the purity is > 95% (by SDS-PAGE).
Storage&Stability :Store at 4°C short term. Aliquot and store at -20°C long term. Avoid freeze-thaw cycles.
Specificity :Mouse IgG1
BiowMW :119kDa
Note :For research use only, not for use in diagnostic procedure.
Alternative Name :FAK; FADK; FAK1; FRNK; pp125FAK; PTK2
Immunogen :Purified recombinant fragment of human FAK expressed in E. Coli.
Conjugate :Unconjugated
Modification :Unmodification
Western blot analysis using FAK mouse mAb against A549 (1) and NIH/3T3 (2) cell lysate.
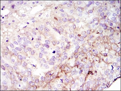
Immunohistochemical analysis of paraffin-embedded human cervices tumour using FAK mouse mAb with DAB staining
Immunofluorescence analysis of B16 cells using FAK mouse mAb (green). Blue: DRAQ5 fluorescent DNA dye.

关注我们

400-660-9091

电话:18013895086

地址:江苏生命科技创新园F6幢1层

订购:nanjing03@biogot.com

服务:biorase01@biogot.com

合作:lvyun@biogot.com

支持:may@biogot.com