中国 EN 400-660-9091

联系我们

电话:18013895086

电话:025-68037686

地址:江苏生命科技创新园F6幢1层

订购:nanjing03@biogot.com

服务:biorase01@biogot.com

合作:lvyun@biogot.com

支持:may@biogot.com

PGA5 monoclonal antibody

货号: MB21262
价格 1200
货期 现货(1-2个工作日)
25ug 50ug 100ug 200ug
No. :MB21262
Product Name :PGA5 monoclonal antibody
Swiss-Prot :P0DJD9
Host :Mouse
Reactivity :Human
Applications :WB,IHC
Application_all :WB:1/500 - 1/2000 IHC:1/200 - 1/1000
Background :PGA5: Pepsinogen 5, group I (pepsinogen A). Pepsinogens are the inactive precursors of pepsin, the major acid protease found in the stomach. Pepsin is one of the main proteolytic enzymes secreted by the gastric mucosa. Pepsin consists of a single polypeptide chain and arises from its precursor, pepsinogen, by removal of a 41 amino acid segment from the N-terminus. Pepsinogen is synthesized in the stomach lining, and hydrochloric acid, also produced by the gastric mucosa, is necessary to convert the inactive enzyme and to maintain the optimum acidity (pH 1-3) for pepsin function. Pepsin is particularly effective in cleaving peptide bonds involving aromatic amino acids. Pepsin shows extremely broad specificity; although bonds involving phenylalanine and leucine are preferred, many others are also cleaved to some extent. PGA5 is a member of the subfamily A1 within the pepsin family and is the predominant endopeptidase in the gastric juice of vertebrates. PGA5 is inhibited by ovUS-1, a uterine serpin.
Product :Ascitic fluid containing 0.03% sodium azide.
Purification&Purity :The antibody was affinity-purified from mouse ascites by affinity-chromatography using epitope-specific immunogen and the purity is > 95% (by SDS-PAGE).
Storage&Stability :Store at 4°C short term. Aliquot and store at -20°C long term. Avoid freeze-thaw cycles.
Specificity :Mouse IgG1
BiowMW :42kDa
Note :For research use only, not for use in diagnostic procedure.
Alternative Name :Pepsinogen 5; Pepsin A
Immunogen :Purified recombinant fragment of human PGA5 expressed in E. Coli.
Conjugate :Unconjugated
Modification :Unmodification
Western blot analysis using PGA5 mouse mAb against HepG2 (1) and SMMC-7721 (2) cell lysate.
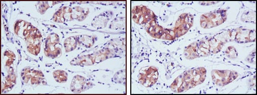
Immunohistochemical analysis of paraffin-embedded human stomach cancer tissues using PGA5 mouse mAb with DAB staining.

关注我们

400-660-9091

电话:18013895086

地址:江苏生命科技创新园F6幢1层

订购:nanjing03@biogot.com

服务:biorase01@biogot.com

合作:lvyun@biogot.com

支持:may@biogot.com