中国 EN 400-660-9091

联系我们

电话:18013895086

电话:025-68037686

地址:江苏生命科技创新园F6幢1层

订购:nanjing03@biogot.com

服务:biorase01@biogot.com

合作:lvyun@biogot.com

支持:may@biogot.com

MYL3 monoclonal antibody

货号: MB21223
价格 1200
货期 现货(1-2个工作日)
25ug 50ug 100ug 200ug
No. :MB21223
Product Name :MYL3 monoclonal antibody
Swiss-Prot :P08590
Host :Mouse
Reactivity :Human
Applications :WB,IHC
Application_all :WB:1/500 - 1/2000 IHC:1/200 - 1/1000
Background :Myosins are a large superfamily of motor proteins that move along actin filaments, while hydrolyzing ATP. Myosin is the major component of thick muscle filaments, and is a long asymmetric molecule containing a globular head and a long tail. The molecule consists of two heavy chains and four light chains. Activation of smooth and cardiac muscle primarily involves pathways which increase calcium and myosin phosphorylation resulting in contraction. Myosin light chain phosphatase acts to regulate muscle contraction by dephosphorylating activated myosin light chain. MYL3 encodes myosin light chain 3, an alkali light chain also referred to in the literature as both the ventricular isoform and the slow skeletal muscle isoform. Human myosin light chain has clinical application as a cardiac marker. Mutations in MYL3 have been identified as a cause of mid-left ventricular chamber type hypertrophic cardiomyopathy.
Product :Purified antibody in PBS with 0.05% sodium azide.
Purification&Purity :The antibody was affinity-purified from mouse ascites by affinity-chromatography using epitope-specific immunogen and the purity is > 95% (by SDS-PAGE).
Storage&Stability :Store at 4°C short term. Aliquot and store at -20°C long term. Avoid freeze-thaw cycles.
Specificity :Mouse IgG1
BiowMW :22kDa
Note :For research use only, not for use in diagnostic procedure.
Alternative Name :CMH8; VLC1; MLC1V; MLC1SB
Immunogen :Purified recombinant fragment of MYL3 expressed in E. Coli.
Conjugate :Unconjugated
Modification :Unmodification
Western blot analysis using MYL3 (1) and MYL2 (2) mouse mAb against rat fetal heart tissues lysate.
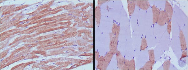
Immunohistochemical analysis of paraffin-embedded human skeletal muscle (left) and cardiac muscle (right) using MYL3 mouse mAb with DAB staining.

关注我们

400-660-9091

电话:18013895086

地址:江苏生命科技创新园F6幢1层

订购:nanjing03@biogot.com

服务:biorase01@biogot.com

合作:lvyun@biogot.com

支持:may@biogot.com