中国 EN 400-660-9091

联系我们

电话:18013895086

电话:025-68037686

地址:江苏生命科技创新园F6幢1层

订购:nanjing03@biogot.com

服务:biorase01@biogot.com

合作:lvyun@biogot.com

支持:may@biogot.com

FMR1 monoclonal antibody

货号: MB21209
价格 1200
货期 现货(1-2个工作日)
25ug 50ug 100ug 200ug
No. :MB21209
Product Name :FMR1 monoclonal antibody
Swiss-Prot :Q06787
Host :Mouse
Reactivity :Human
Applications :WB,IHC,IF
Application_all :IHC:1/200 - 1/1000 IF:1/200 - 1/1000
Background :FMR1, also known as POF, FMRP, FRAXA. Entrez Protein: NP_002015. It is an RNA-binding protein that associates with polyribosomes and is a likely component of a messenger ribonuclear protein (mRNP) particle The protein may be involved in mRNA trafficking from the nucleus to the cytoplasm. A trinucleotide repeat (CGG) in the 5' UTR is normally found at 6-53 copies, but an expansion to 55-230 repeats is the cause of fragile X syndrome. Expansion of the trinucleotide repeat may also cause one form of premature ovarian failure (POF1). RNA-binding protein that plays a role in intracellular RNA transport and in the regulation of translation of target mRNAs.
Product :Purified antibody in PBS with 0.05% sodium azide.
Purification&Purity :The antibody was affinity-purified from mouse ascites by affinity-chromatography using epitope-specific immunogen and the purity is > 95% (by SDS-PAGE).
Storage&Stability :Store at 4°C short term. Aliquot and store at -20°C long term. Avoid freeze-thaw cycles.
Specificity :Mouse IgG1
BiowMW :71kDa
Note :For research use only, not for use in diagnostic procedure.
Alternative Name :POF; FMRP; POF1; FRAXA
Immunogen :Purified recombinant fragment of human FMR1 expressed in E. Coli.
Conjugate :Unconjugated
Modification :Unmodification
Western blot analysis using FMR1 mouse mAb against Jurkat (1) and K562 (2) cell lysate.
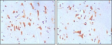
Immunohistochemical analysis of paraffin-embedded human brain tissues, showing cytoplasmic localization with DAB staining using FMR1 mouse mAb.
Immunofluorescence analysis of NIH/3T3 cells using FMR1 mouse mAb (green). Blue: DRAQ5 fluorescent DNA dye. Red: Actin filaments have been labeled with Alexa Fluor-555 phalloidin.

关注我们

400-660-9091

电话:18013895086

地址:江苏生命科技创新园F6幢1层

订购:nanjing03@biogot.com

服务:biorase01@biogot.com

合作:lvyun@biogot.com

支持:may@biogot.com