中国 EN 400-660-9091

联系我们

电话:18013895086

电话:025-68037686

地址:江苏生命科技创新园F6幢1层

订购:nanjing03@biogot.com

服务:biorase01@biogot.com

合作:lvyun@biogot.com

支持:may@biogot.com

PEG10 monoclonal antibody

货号: MB21194
价格 1200
货期 现货(1-2个工作日)
25ug 50ug 100ug 200ug
No. :MB21194
Product Name :PEG10 monoclonal antibody
Swiss-Prot :Q86TG7
Host :Mouse
Reactivity :Human
Applications :WB,IHC
Application_all :IHC:1/200 - 1/1000
Background :PEG10, paternally expressed 10. The PEG10 includes two overlapping reading frames of the same transcript encoding distinct isoforms. The shorter isoform has a CCHC-type zinc finger motif containing a sequence characteristic of gag proteins of most retroviruses and some retrotransposons, and it functions in part by interacting with members of the TGF-beta receptor family. The longer isoform has the active-site DSG consensus sequence of the protease domain of pol proteins. The longer isoform is the result of -1 translational frameshifting that is also seen in some retroviruses. Expression of these two isoforms only comes from the paternal allele due to imprinting. Increased gene expression (as observed by an increase in mRNA levels) is associated with hepatocellular carcinomas.
Product :Purified antibody in PBS with 0.05% sodium azide.
Purification&Purity :The antibody was affinity-purified from mouse ascites by affinity-chromatography using epitope-specific immunogen and the purity is > 95% (by SDS-PAGE).
Storage&Stability :Store at 4°C short term. Aliquot and store at -20°C long term. Avoid freeze-thaw cycles.
Specificity :Mouse IgG1
BiowMW :Isoform RF1 (37kDa); RF1/RF2 (80kDa)
Note :For research use only, not for use in diagnostic procedure.
Alternative Name :Edr; HB-1; Mar2; MEF3L; Mart2; RGAG3
Immunogen :Purified recombinant fragment of human PEG10 expressed in E. Coli.
Conjugate :Unconjugated
Modification :Unmodification
Western blot analysis using PEG10 mouse mAb against HepG2 (1), SMMC-7721 (2) and A549 (3) cell lysate.
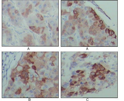
Immunohistochemical analysis of paraffin-embedded human hepatocarcinoma (A), breast carcinoma (B) and lung cancer tissues (C), showing cytoplasmic localization with DAB staining using PEG10 mouse mAb.

关注我们

400-660-9091

电话:18013895086

地址:江苏生命科技创新园F6幢1层

订购:nanjing03@biogot.com

服务:biorase01@biogot.com

合作:lvyun@biogot.com

支持:may@biogot.com