中国 EN 400-660-9091

联系我们

电话:18013895086

电话:025-68037686

地址:江苏生命科技创新园F6幢1层

订购:nanjing03@biogot.com

服务:biorase01@biogot.com

合作:lvyun@biogot.com

支持:may@biogot.com

CD44 monoclonal antibody

货号: MB21185
价格 1200
货期 现货(1-2个工作日)
25ug 50ug 100ug 200ug
No. :MB21185
Product Name :CD44 monoclonal antibody
Swiss-Prot :P16070
Host :Mouse
Reactivity :Human,Mouse,Rat,Monkey
Applications :WB,IHC,IF,FCM
Application_all :WB:1/500-1/1000 IHC:1/200 - 1/1000 IF:1/200 - 1/1000 FC:1/200 - 1/400
Background :CD44, also known as IN, LHRMIC4, CDW44, HCELL. It is a cell-surface glycoprotein involved in cell-cell interactions, cell adhesion and migration. It is a receptor for hyaluronic acid (HA) and can also interact with other ligands, such as osteopontin, collagens, and matrix metalloproteinases (MMPs). This protein participates in a wide variety of cellular functions including lymphocyte activation, recirculation and homing, hematopoiesis, and tumor metastasis. Transcripts for this gene undergo complex alternative splicing that results in many functionally distinct isoforms, however, the full length nature of some of these variants has not been determined. Alternative splicing is the basis for the structural and functional diversity of this protein, and may be related to tumor metastasis.
Product :Purified antibody in PBS with 0.05% sodium azide.
Purification&Purity :The antibody was affinity-purified from mouse ascites by affinity-chromatography using epitope-specific immunogen and the purity is > 95% (by SDS-PAGE).
Storage&Stability :Store at 4°C short term. Aliquot and store at -20°C long term. Avoid freeze-thaw cycles.
Specificity :Mouse IgG1
BiowMW :82kDa
Note :For research use only, not for use in diagnostic procedure.
Alternative Name :IN; LHR; MC56; MDU2; MDU3; MIC4; Pgp1; CDW44; CSPG8; HCELL
Immunogen :Purified recombinant fragment of human CD44 (628-699) expressed in E. Coli.
Conjugate :Unconjugated
Modification :Unmodification
Western blot analysis using CD44 mouse mAb against Hela (1) and HUVE-12(2) cell lysate.
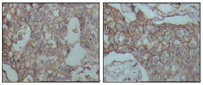
Immunohistochemical analysis of paraffin-embedded human breast carcinoma tissues, showing membrane localization with DAB staining using CD44 mouse mAb.
Confocal analysis of paraffin-embedded human lung cancer tissues using CD44 mouse mAb (green), showing membrane localization. Blue: DRAQ5 fluorescent DNA dye.
Flow cytometric analysis of Hela cells using CD44 mouse mAb (right) and negative control (left).

关注我们

400-660-9091

电话:18013895086

地址:江苏生命科技创新园F6幢1层

订购:nanjing03@biogot.com

服务:biorase01@biogot.com

合作:lvyun@biogot.com

支持:may@biogot.com