中国 EN 400-660-9091

联系我们

电话:18013895086

电话:025-68037686

地址:江苏生命科技创新园F6幢1层

订购:nanjing03@biogot.com

服务:biorase01@biogot.com

合作:lvyun@biogot.com

支持:may@biogot.com

MLH1 monoclonal antibody

货号: MB21171
价格 1200
货期 现货(1-2个工作日)
25ug 50ug 100ug 200ug
No. :MB21171
Product Name :MLH1 monoclonal antibody
Swiss-Prot :P40692
Host :Mouse
Reactivity :Human,Monkey
Applications :WB,IHC,IF
Application_all :WB:1/500 - 1/2000 IHC:1/200 - 1/1000 IF:1/200 - 1/1000
Background :DNA-mismatch repair (MMR), a conserved process that involves correcting errors made during DNA synthesis, is crucial to the maintenance of genomic integrity. Lack of a functional DNA-mismatch repair pathway is a common characteristic of several different types of human cancers, either due to an MMR gene mutation or promoter-methylation gene silencing. MLH1 is a human homolog of the E. coli DNA mismatch repair gene mutL, consistent with the characteristic alterations in microsatellite sequences (RER+ phenotype) found in hereditary nonpolyposis colon cancer (HNPCC). MLH1 is an integral part of the protein complex responsible for mismatch repair expressed in lymphocytes, heart, colon, breast, lung, spleen, testis, prostate, thyroid and gall bladder, and is methylated in several ovarian tumors. Loss of MLH1 protein expression is associated with a mutated phenotype, microsatellite instability and a predisposition to cancer. In hereditary nonpolyposis colorectal cancer (HNPCC), an autosomal dominant inherited cancer syndrome that signifies a high risk of colorectal and various other types of cancer, the MLH1 gene exhibits a pathogenic mutation. Inactivation of the MLH1 gene causes genome instability and predisposition to cancer. MLH1 also plays a role in meiotic recombination.
Product :Purified antibody in PBS with 0.05% sodium azide.
Purification&Purity :The antibody was affinity-purified from mouse ascites by affinity-chromatography using epitope-specific immunogen and the purity is > 95% (by SDS-PAGE).
Storage&Stability :Store at 4°C short term. Aliquot and store at -20°C long term. Avoid freeze-thaw cycles.
Specificity :Mouse IgG1
BiowMW :85kDa
Note :For research use only, not for use in diagnostic procedure.
Alternative Name :FCC2; COCA2; HNPCC
Immunogen :Purified recombinant fragment of MLH1 (aa381-483) expressed in E. Coli.
Conjugate :Unconjugated
Modification :Unmodification
Western blot analysis using MLH1 mouse mAb against Hela (1), MCF-7 (2) and A549 (3), Jurkat (4), 2R75 (5) and COS (6) cell lysate.
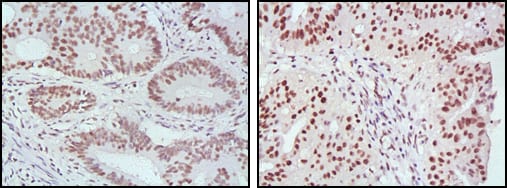
Immunohistochemical analysis of paraffin-embedded human rectum cancer (left) and ovarian cancer (right) tissues, showing nuclear localization with DAB staining using MLH1 mouse mAb.
Confocal Immunofluorescence analysis of Hela cells using MLH1 mouse mAb (green), showing nuclear localization. Red: Actin filaments have been labeled with Alexa Fluor-555 phalloidin.

关注我们

400-660-9091

电话:18013895086

地址:江苏生命科技创新园F6幢1层

订购:nanjing03@biogot.com

服务:biorase01@biogot.com

合作:lvyun@biogot.com

支持:may@biogot.com