中国 EN 400-660-9091

联系我们

电话:18013895086

电话:025-68037686

地址:江苏生命科技创新园F6幢1层

订购:nanjing03@biogot.com

服务:biorase01@biogot.com

合作:lvyun@biogot.com

支持:may@biogot.com

AMACR monoclonal antibody

货号: MB21131
价格 1200
货期 现货(1-2个工作日)
25ug 50ug 100ug 200ug
No. :MB21131
Product Name :AMACR monoclonal antibody
Swiss-Prot :Q9UHK6
Host :Mouse
Reactivity :Human,Mouse
Applications :WB,IHC,IF
Application_all :WB:1/500 - 1/2000 IHC:1/200 - 1/1000 IF:1/200 - 1/1000
Background :AMACR (alpha-methylacyl-CoA racemase) has been recently described as prostate cancer-specific gene that encodes a protein involved in the beta-oxidation of branched chain fatty acids. Expression of AMACR protein is found in prostatic adenocarcinoma but not in benign prostatic tissue. It stains premalignant lesions of prostate: high-grade prostatic intraepithelial neoplasia (PIN) and atypical adenomatous hyperplasia. AMACR can be used as a positive marker for PIN. Defects in AMACR are the cause of congenital bile acid synthesis defect type 4 (CBAS4); also known as cholestasis, intrahepatic, with defective conversion of trihydroxycoprostanic acid to cholic acid or trihydroxycoprostanic acid in bile. Clinical features include neonatal jaundice, intrahepatic cholestasis, bile duct deficiency and absence of cholic acid from bile.
Product :Purified antibody in PBS with 0.05% sodium azide.
Purification&Purity :The antibody was affinity-purified from mouse ascites by affinity-chromatography using epitope-specific immunogen and the purity is > 95% (by SDS-PAGE).
Storage&Stability :Store at 4°C short term. Aliquot and store at -20°C long term. Avoid freeze-thaw cycles.
Specificity :Mouse IgG2b
BiowMW :42kDa
Note :For research use only, not for use in diagnostic procedure.
Alternative Name :RACE
Immunogen :Purified recombinant fragment of human AMACR expressed in E. Coli.
Conjugate :Unconjugated
Modification :Unmodification
Western blot analysis using AMACR mouse mAb against Jurkat (1) and LNCaP (2) cell lysate.
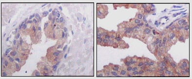
Immunohistochemical analysis of paraffin-embedded human normal prostate tissues (left) and prostate adenocarcinoma tissues (right), showing cytoplasmic localization using AMACR mouse mAb with DAB staining.
Confocal Immunofluorescence analysis of LNCaP cells using AMACR mouse mAb (green). Red: Actin filaments have been labeled with DY-554 phalloidin. Blue: DRAQ5 fluorescent DNA dye.

关注我们

400-660-9091

电话:18013895086

地址:江苏生命科技创新园F6幢1层

订购:nanjing03@biogot.com

服务:biorase01@biogot.com

合作:lvyun@biogot.com

支持:may@biogot.com