中国 EN 400-660-9091

联系我们

电话:18013895086

电话:025-68037686

地址:江苏生命科技创新园F6幢1层

订购:nanjing03@biogot.com

服务:biorase01@biogot.com

合作:lvyun@biogot.com

支持:may@biogot.com

FER monoclonal antibody

货号: MB21129
价格 1200
货期 现货(1-2个工作日)
25ug 50ug 100ug 200ug
No. :MB21129
Product Name :FER monoclonal antibody
Swiss-Prot :P16591
Host :Mouse
Reactivity :Human,Mouse
Applications :WB,IHC,IF
Application_all :WB:1/500 - 1/2000 IHC:1/200 - 1/1000 IF:1/200 - 1/1000
Background :FER (fer tyrosine kinase) is a member of the FPS/FES family of nontransmembrane receptor tyrosine kinases, which shares a functional domain and is involved in signaling pathways through receptor tyrosine kinases (RTK) and cytokine receptors. The Fes /Fps family is distinct from c-Src, c-Abl and related nRTKs and was originally distinguished as a homolog to retroviral oncoproteins. In vivo, Fer kinase assembles into homotrimers via conserved coiled-coil domains. The N-terminal coiled-coil domains of Fer can autophosphorylate in trans, thereby regulating their cellular function through differential phosphorylation states. Growth factor exposure can induce tyrosine phosphorylation of Fer and recruitment of Fer to RTK complexes containing p85. It is expressed predominantly in mature hematopoietic cells of the granulocytic and monocytic lineage, and has been shown to be expressed in vascular endothelial cells. Fer is implicated in insulin signaling, cell-cell signaling, human prostatic proliferative diseases, and is involved in the regulation of G1 progression.
Product :Ascitic fluid containing 0.03% sodium azide.
Purification&Purity :The antibody was affinity-purified from mouse ascites by affinity-chromatography using epitope-specific immunogen and the purity is > 95% (by SDS-PAGE).
Storage&Stability :Store at 4°C short term. Aliquot and store at -20°C long term. Avoid freeze-thaw cycles.
Specificity :Mouse IgG1
BiowMW :95kDa
Note :For research use only, not for use in diagnostic procedure.
Alternative Name :TYK3; FER
Immunogen :Purified recombinant fragment of human FER expressed in E. Coli.
Conjugate :Unconjugated
Modification :Unmodification
Western blot analysis using FER mouse mAb against NIH/3T3 (1), A549 (2) and SK-MEL-5 (3) cell lysate.
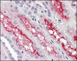
Immunohistochemical analysis of paraffin-embedded human kidney tissues using FER mouse mAb.
Confocal Immunofluorescence analysis of Hela cells using FER mouse mAb (green). Red: Actin filaments have been labeled with Alexa Fluor-555 phalloidin. Blue: DRAQ5 fluorescent DNA dye.

关注我们

400-660-9091

电话:18013895086

地址:江苏生命科技创新园F6幢1层

订购:nanjing03@biogot.com

服务:biorase01@biogot.com

合作:lvyun@biogot.com

支持:may@biogot.com