中国 EN 400-660-9091

联系我们

电话:18013895086

电话:025-68037686

地址:江苏生命科技创新园F6幢1层

订购:nanjing03@biogot.com

服务:biorase01@biogot.com

合作:lvyun@biogot.com

支持:may@biogot.com

MYST1 monoclonal antibody

货号: MB21118
价格 1200
货期 现货(1-2个工作日)
25ug 50ug 100ug 200ug
No. :MB21118
Product Name :MYST1 monoclonal antibody
Swiss-Prot :Q9H7Z6
Host :Mouse
Reactivity :Human
Applications :WB,IHC,IF
Application_all :WB:1/500 - 1/2000 IHC:1/200 - 1/1000 IF:1/200 - 1/1000
Background :MYST1 (MYST histone acetyltransferase 1, MOF) belongs to the MYST family of histone acetyltransferases, which are employed in the cell to bring about transcriptional regulation. The MYST family includes MYST1, is named for the founding members MOZ, yeast YBF2 and SAS2, and TIP60. All members of this family contain a MYST region of about 240 amino acids with a canonical acetyl-CoA-binding site and a C2HC-type zinc finger motif. Most MYST proteins also have a chromodomain involved in protein- protein interactions and targeting transcriptional regulators to chromatin. Although MOF is expressed in both males and females, it associates with the X chromosome only in males. MOF contains a zinc-finger domain that is used to contact the globular part of the nucleosome and histone H4. The carboxy terminal domain of human MOF also has histone acetyltransferase activity directed against histones H3 and H2A, a characteristic shared with other MYST family histone
Product :Purified antibody in PBS with 0.05% sodium azide.
Purification&Purity :The antibody was affinity-purified from mouse ascites by affinity-chromatography using epitope-specific immunogen and the purity is > 95% (by SDS-PAGE).
Storage&Stability :Store at 4°C short term. Aliquot and store at -20°C long term. Avoid freeze-thaw cycles.
Specificity :Mouse IgG2b
BiowMW :53kDa
Note :For research use only, not for use in diagnostic procedure.
Alternative Name :MOF; KAT8; hMOF
Immunogen :Purified recombinant fragment of human MYST1 expressed in E. Coli.
Conjugate :Unconjugated
Modification :Unmodification
Western blot analysis using MYST1 mouse mAb against Hela (1), HepG2 (2) and SMMC-7721 (3) cell lysate.
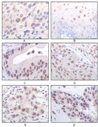
Immunohistochemical analysis of paraffin-embedded human esophageal squamous cell carcinoma (A), normal esophagus epithelium (B), rectum adenocarcinoma (C), lung squamous cell carcinoma (D), breast infiltrating carcinoma (E), and breast infiltrating carcinoma (F) tissues, showing nuclear localization using MOF/MYST1 mouse mAb with DAB staining.
Confocal Immunofluorescence analysis of Eca 109 cells using MOF/MYST1 mouse mAb (green), showing nuclear localization.

关注我们

400-660-9091

电话:18013895086

地址:江苏生命科技创新园F6幢1层

订购:nanjing03@biogot.com

服务:biorase01@biogot.com

合作:lvyun@biogot.com

支持:may@biogot.com