中国 EN 400-660-9091

联系我们

电话:18013895086

电话:025-68037686

地址:江苏生命科技创新园F6幢1层

订购:nanjing03@biogot.com

服务:biorase01@biogot.com

合作:lvyun@biogot.com

支持:may@biogot.com

BTK monoclonal antibody

货号: MB21110
价格 1200
货期 现货(1-2个工作日)
25ug 50ug 100ug 200ug
No. :MB21110
Product Name :BTK monoclonal antibody
Swiss-Prot :Q06187
Host :Mouse
Reactivity :Human,Monkey
Applications :WB,IHC,IF
Application_all :WB:1/500 - 1/2000 IHC:1/200 - 1/1000 IF:1/200 - 1/1000
Background :Brutons tyrosine kinase (BTK) is a member of the BTK/Tec family of cytoplasmic tyrosine kinases.All members of the family contain SH3 and SH2 domains and, with the exception of Txk and Dsrc28C, also contain a pleckstrin homology (PH) and a Tec homology (TH) domain in their amino termini.BTK plays an important role in B cell development. Activation of B cells by various ligands is accompanied by BTK membrane translocation mediated by its PH domain binding to phosphatidylinositol-3,4,5-trisphosphate. The membrane located BTK is active and associated with transient phosphorylation of two tyrosine residues, Tyr551 and Tyr223. Tyr551 in the activation loop is transphosphorylated by the Src family tyrosine kinase, leading to autophosphorylation at Tyr223 within the SH3 domain, which is necessary for full activation.
Product :Purified antibody in PBS with 0.05% sodium azide.
Purification&Purity :The antibody was affinity-purified from mouse ascites by affinity-chromatography using epitope-specific immunogen and the purity is > 95% (by SDS-PAGE).
Storage&Stability :Store at 4°C short term. Aliquot and store at -20°C long term. Avoid freeze-thaw cycles.
Specificity :Mouse IgG1
BiowMW :77kDa
Note :For research use only, not for use in diagnostic procedure.
Alternative Name :BTK
Immunogen :Purified recombinant fragment of BTK expressed in E. Coli.
Conjugate :Unconjugated
Modification :Unmodification
Western blot analysis using BTK mouse mAb against K562 (1), MCF-7 (2), Jurkat (3) and HEK293 (4) cell lysate.
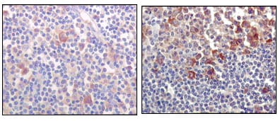
Immunohistochemical analysis of paraffin-embedded human lymph-node tissues (left) and human lymph follicle tissues (right), showing cytoplasmic and membrane localization using BTK mouse mAb with DAB staining.
Immunofluorescence analysis of Jurkat cells using BTK mouse mAb.

关注我们

400-660-9091

电话:18013895086

地址:江苏生命科技创新园F6幢1层

订购:nanjing03@biogot.com

服务:biorase01@biogot.com

合作:lvyun@biogot.com

支持:may@biogot.com