中国 EN 400-660-9091

联系我们

电话:18013895086

电话:025-68037686

地址:江苏生命科技创新园F6幢1层

订购:nanjing03@biogot.com

服务:biorase01@biogot.com

合作:lvyun@biogot.com

支持:may@biogot.com

GSTP1 monoclonal antibody

货号: MB21087
价格 1200
货期 现货(1-2个工作日)
25ug 50ug 100ug 200ug
No. :MB21087
Product Name :GSTP1 monoclonal antibody
Swiss-Prot :P09211
Host :Mouse
Reactivity :Human
Applications :WB,IHC,IF,FCM
Application_all :WB:1/500 - 1/2000 IHC:1/200 - 1/1000 IF:1/200 - 1/1000 FC:1/200 - 1/400
Background :GSTP1 (glutathione-S-transferase, pi 1), also called GST3/DFN7, is a family of enzymes that play an important role in detoxification by catalyzing the conjugation of many hydrophobic and electrophilic compounds with reduced glutathione. GSTP1 act like a tumor suppressor gene, which when inactivated leads to tumor growth, and the -class glutathione S-transferase is commonly inactivated by somatic CpGisland hypermethylation in cancers of the prostate, liver, and breast. Methylation of regulatory sequences at the GSTP1 gene locus is found in the vast majority (>90%) of prostate carcinomas and is associated with transcriptional down-regulation.
Product :Purified antibody in PBS with 0.05% sodium azide.
Purification&Purity :The antibody was affinity-purified from mouse ascites by affinity-chromatography using epitope-specific immunogen and the purity is > 95% (by SDS-PAGE).
Storage&Stability :Store at 4°C short term. Aliquot and store at -20°C long term. Avoid freeze-thaw cycles.
Specificity :Mouse IgG1
BiowMW :23kDa
Note :For research use only, not for use in diagnostic procedure.
Alternative Name :PI; DFN7; GST3; FAEES3
Immunogen :Purified recombinant fragment of human GSTP1 expressed in E. Coli.
Conjugate :Unconjugated
Modification :Unmodification
Western blot analysis using GSTP1 mouse mAb against PC3 cell lysate (1) and human cerebellum tissue lysate (2).
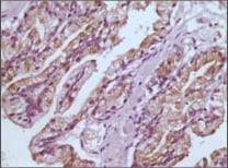
Immunohistochemical analysis of paraffin-embedded human prostate tissues using GSTP1 mouse mAb with DAB staining.
Confocal Immunofluorescence analysis of HepG2 (left) and L-02 (right) cells using GSTP1 mouse mAb (green). Red: Actin filaments have been labeled with DY-554 phalloidin. Blue: DRAQ5 fluorescent DNA dye.
Flow cytometric analysis of K562 cells using GSTP1 mouse mAb (green) and negative control (purple).

关注我们

400-660-9091

电话:18013895086

地址:江苏生命科技创新园F6幢1层

订购:nanjing03@biogot.com

服务:biorase01@biogot.com

合作:lvyun@biogot.com

支持:may@biogot.com