中国 EN 400-660-9091

联系我们

电话:18013895086

电话:025-68037686

地址:江苏生命科技创新园F6幢1层

订购:nanjing03@biogot.com

服务:biorase01@biogot.com

合作:lvyun@biogot.com

支持:may@biogot.com

ER-alpha monoclonal antibody

货号: MB21056
价格 1200
货期 现货(1-2个工作日)
25ug 50ug 100ug 200ug
No. :MB21056
Product Name :ER-alpha monoclonal antibody
Swiss-Prot :P03372
Host :Mouse
Reactivity :Human
Applications :WB,IHC
Application_all :WB:1/500 - 1/2000 IHC:1/200 - 1/1000
Background :The estrogen receptor (ER) is a ligand-activated transcription factor composed of several domains important for hormone binding, DNA binding, and activation of transcription. Alternative splicing results in several ER mRNA transcripts, which differ primarily in their 5-prime untranslated regions. Two isoforms of the human ER, ERA and ER-beta, occur, each with distinct tissue and cell patterns of expression. Pelletier and El-Alfy (2000) studied the immunocytochemical localization of ESRA and ESRB in human reproductive tissues. In the ovary, ERB immunoreactivity was found in nuclei of granulosa cells of growing follicles at all stages from primary to mature follicles, interstitial gland, and germinal epithelium cells. Nuclear staining for ERA occurred in thecal, interstitial gland, and germinal epithelium cells. In the uterus, strong ERA immunoreactivity was detected in nuclei of epithelial, stromal, and muscle cells.
Product :Purified antibody in PBS with 0.05% sodium azide
Purification&Purity :The antibody was affinity-purified from mouse ascites by affinity-chromatography using epitope-specific immunogen and the purity is > 95% (by SDS-PAGE).
Storage&Stability :Store at 4°C short term. Aliquot and store at -20°C long term. Avoid freeze-thaw cycles.
Specificity :Mouse IgG1
Note :For research use only, not for use in diagnostic procedure.
Alternative Name :ER; ESR1; Era; ESRA
Immunogen :Purified recombinant fragment of human ER-alpha (410-592aa) expressed in E. Coli.
Conjugate :Unconjugated
Modification :Unmodification
Western blot analysis using ER-alpha mouse mAb against human breast carcinoma tissue lysate.
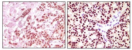
Immunohistochemical analysis of paraffin-embedded human breast carcinoma, using ER-alpha mouse mAb showing nuclear expression with DAB staining.

关注我们

400-660-9091

电话:18013895086

地址:江苏生命科技创新园F6幢1层

订购:nanjing03@biogot.com

服务:biorase01@biogot.com

合作:lvyun@biogot.com

支持:may@biogot.com