中国 EN 400-660-9091

联系我们

电话:18013895086

电话:025-68037686

地址:江苏生命科技创新园F6幢1层

订购:nanjing03@biogot.com

服务:biorase01@biogot.com

合作:lvyun@biogot.com

支持:may@biogot.com

GAPDH monoclonal antibody

货号: MB21049
价格 1200
货期 现货(1-2个工作日)
25ug 50ug 100ug 200ug
No. :MB21049
Product Name :GAPDH monoclonal antibody
Swiss-Prot :P04406
Host :Mouse
Reactivity :Human,Mouse,Rat,Rabbit,Monkey
Applications :WB,IHC,IF,FCM
Application_all :WB:1/5000- 1/20000 IHC:1/200 - 1/1000 IF:1/200 - 1/1000 FC:1/200 - 1/400
Background :Glyceraldehyde-3-phosphate dehydrogenase (GAPDH) is well known as one of the key enzymes involved in glycolysis. It catalyzes an important energy-yielding step in carbohydrate metabolism, the reversible oxidative phosphorylation of glyceraldehyde-3-phosphate in the presence of inorganic phosphate and nicotinamide adenine dinucleotide (NAD). The enzyme exists as a tetramer of identical chains. Besides its functioning as a glycolytic enzyme in cytoplasm, recent evidence suggest that mammalian GAPDH is also involved in a great number of intracellular proceses such as membrane fusion, microtubule bundling, phosphotransferase activity, nuclear RNA export, DNA replication, and DNA repair. During the last decade a lot of findings appeared concerning the role of GAPDH in different pathologies including prostate cancer progression, programmed neuronal cell death, age- related neuronal diseases, such as Alzheimer
Product :Purified antibody in PBS with 0.05% sodium azide.
Purification&Purity :The antibody was affinity-purified from mouse ascites by affinity-chromatography using epitope-specific immunogen and the purity is > 95% (by SDS-PAGE).
Storage&Stability :Store at 4°C short term. Aliquot and store at -20°C long term. Avoid freeze-thaw cycles.
Specificity :Mouse IgG1
BiowMW :37kDa
Note :For research use only, not for use in diagnostic procedure.
Alternative Name :G3PD; GAPD; MGC88685;Glyceraldehyde-3-phosphate dehydrogenase
Immunogen :Purified recombinant fragment of human GAPDH expressed in E. Coli.
Conjugate :Unconjugated
Modification :Unmodification
Western blot analysis using GAPDH mouse mAb against Hela (1), A549 (2), A431 (3), MCF-7 (4), K562 (5), Jurkat (6), HL60 (7), SKN-SH (8) and SKBR-3 (9) cell lysate.
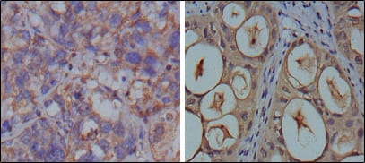
Immunohistochemical analysis of paraffin-embedded human breast carcinoma (left) and kidney carcinoma (right), showing cytoplasmic localization using GAPDH mouse mAb with DAB staining.
Confocal Immunofluorescence analysis of methanol-fixed HepG2 (left) and Hela (right) cells using GAPDH mouse mAb (green), showing cytoplasmic localization. Blue: DRAQ5 fluorescent DNA dye.
Flow cytometric analysis of NIH3T3 cells using GAPDH mouse mAb (green) and negative control (red).

关注我们

400-660-9091

电话:18013895086

地址:江苏生命科技创新园F6幢1层

订购:nanjing03@biogot.com

服务:biorase01@biogot.com

合作:lvyun@biogot.com

支持:may@biogot.com