中国 EN 400-660-9091

联系我们

电话:18013895086

电话:025-68037686

地址:江苏生命科技创新园F6幢1层

订购:nanjing03@biogot.com

服务:biorase01@biogot.com

合作:lvyun@biogot.com

支持:may@biogot.com

MSH2 monoclonal antibody

货号: MB21042
价格 1200
货期 现货(1-2个工作日)
25ug 50ug 100ug 200ug
No. :MB21042
Product Name :MSH2 monoclonal antibody
Swiss-Prot :P43246
Host :Mouse
Reactivity :Human,Mouse
Applications :WB,IHC,IF
Application_all :WB:1/500 - 1/2000 IHC:1/100 - 1/500 IF:1/50 - 1/500
Background :MSH2 is a 100 kDa nuclear antigen and encodes a protein of 934 amino acids. The MSH2 gene is one of 4 known genes encoding proteins involved in the repair of mismatch nucleotides following DNA <br />replication or repair. Mutations in the MSH2 gene contribute to the development of sporadic <br />colorectal carcinoma. MSHS mutations are responsible for 50% of inherited non-polyposis colorectal <br />(HNPCC). The repair of mismatch DNA is essential to maintaining the integrity of genetic <br />information over time. An alteration of microsatellite repeats is the result of slippage owing to strand misalignment during DNA replication and is referred to as microsatellite instability (MSI). <br />These defects in DNA repair pathways have been related to human carcinogenesis. MSH-2 is involved in the initial cognition of mismatch nucleotides during the replication mismatch repair process.
Product :Purified antibody in PBS with 0.05% sodium azide.
Purification&Purity :The antibody was affinity-purified from mouse ascites by affinity-chromatography using epitope-specific immunogen and the purity is > 95% (by SDS-PAGE).
Storage&Stability :Store at 4°C short term. Aliquot and store at -20°C long term. Avoid freeze-thaw cycles.
Specificity :Mouse IgG1
BiowMW :105kDa
Note :For research use only, not for use in diagnostic procedure.
Alternative Name :FCC1; COCA1; HNPCC; LCFS2
Immunogen :Purified recombinant fragment of human MSH2 expressed in E. Coli.
Conjugate :Unconjugated
Modification :Unmodification
Western blot analysis using MSH2 mouse mAb against Hela (1), A549 (2), A431 (3) and HEK293 (4) cell lysate.
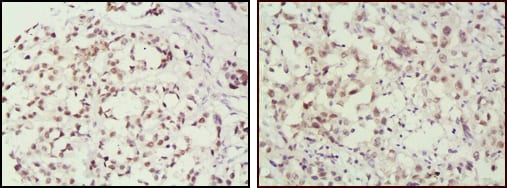
Immunohistochemical analysis of paraffin-embedded human breast cancer (left) and lung cancer (right) tissues, showing nuclear localization using MSH2 mouse mAb with DAB staining.
Confocal Immunofluorescence analysis of Hela cells using MSH2 mouse mAb (green), showing nuclear localization. Red: Actin filaments have been labeled with Alexa Fluor-555 phalloidin.

关注我们

400-660-9091

电话:18013895086

地址:江苏生命科技创新园F6幢1层

订购:nanjing03@biogot.com

服务:biorase01@biogot.com

合作:lvyun@biogot.com

支持:may@biogot.com